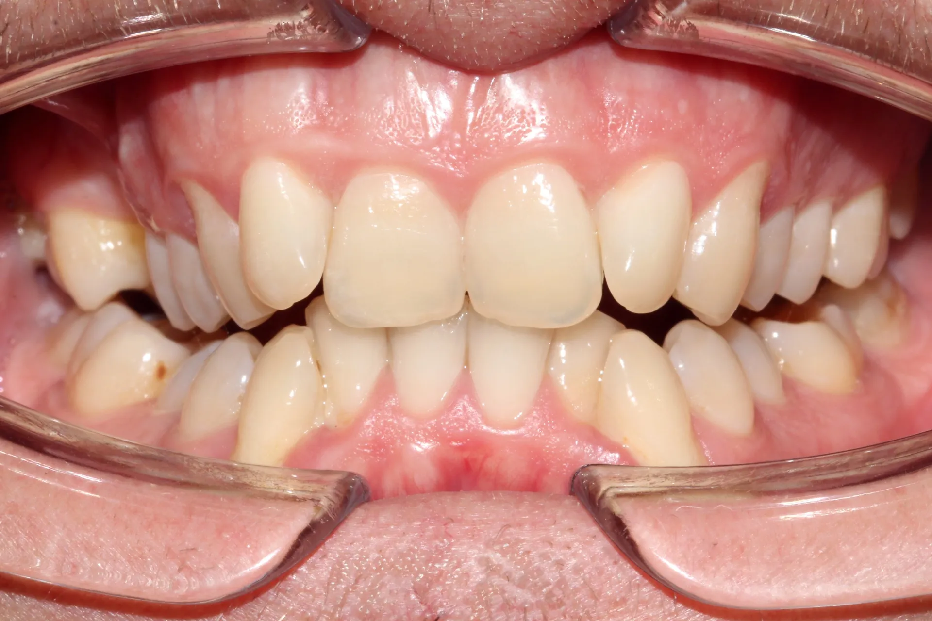
Брекеты Damon Clear — самое эстетичное решение для вас

Брекеты Damon Clear (Мытищи)

Брекеты Damon Clear в Мытищах
от 565 800 рублей
Хотите выровнять зубы и исправить прикус, но вас мучает эстетическая сторона вопроса? У нас есть идеальное решение — брекеты Damon Clear. Эти инновационные брекеты предлагают надёжное и эффективное решение для выравнивания зубов, не нарушая вашу эстетическую привлекательность. Благодаря своему прозрачному дизайну, они практически незаметны на зубах! Исправьте свою улыбку "под ключ" с Damon Clear — невидимые брекеты работают на вас, преображая ваши зубы день за днем. Мы в Dental Way сделали более 1000 ослепительных улыбок с 2011 года - и поможем вам достичь идеального результата!
У нас действует рассрочка без процентов на ортодонтическое лечение!

*цена указана за всё лечение, включая ретенционный период

Зачем нужны брекеты?

  • Психологический комфорт

  • Если человек недоволен зубами и прикусом, у него могут возникнуть серьезные трудности: стеснение при общении, проблемы с дикцией и осанкой. Установка брекетов позволит исправить дефекты улыбки, вернуть уверенность и чувство комфорта.

  • Сохранение общего здоровья

  • Неправильный прикус со временем нарушает работу височно-нижнечелюстного сустава (ВНЧС). Отсюда головные боли, щелчки при открывании рта, стирание головки сустава. Установка брекетов предотвращает многие важные проблемы со здоровьем.

  • Поддержание стоматологического здоровья

  • Когда зубы расположены криво — между ними мало контактов, и жевательная нагрузка распределяется неравномерно. С годами это приводит к неминуемому расшатыванию и стиранию некоторых зубов, провоцирует пародонтит и кариес. Установка брекетов предотвращает многие заболевания зубов и дёсен.
Брекеты — это не только про красоту, но прежде всего про ваше здоровье — физическое и психологическое. Позаботьтесь о состоянии своих зубов прямо сейчас с Dental Way

Преимущества брекетов Damon Clear

С брекетами Damon Clear выравнивание зубов и коррекция прикуса стали эффективными, быстрыми, комфортными и очень эстетичными. Приходите в Dental Way за вашей идеальной улыбкой!

  • Эстетичность: брекеты Damon Clear выполнены из поликристаллической керамики и практически не заметны на зубах. Они устойчивы к окрашивающей пищей, не темнеют, на них не появляется пятен
  • Надёжность: основание брекета Damon Clear имеет запатентованное лазерное протравливание, которое обеспечивает надежную фиксацию и комфортное снятие брекета
  • Высокая эффективность: брекеты Damon Clear могут уменьшить общее время лечения и количество необходимых визитов, так как они более эффективны в перемещении зубов
  • Гигиеничность: эти брекеты сконструированы таким образом, чтобы облегчить уход за полостью рта и снизить риск накопления налета

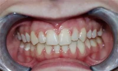
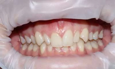
Результаты до/после

До
После

Неправильный прикус, узкий зубной ряд, скученность.

Как проходит установка брекетов Damon Clear: этапы

Этап 1. Диагностика и подготовка

— Установка брекетов начинается с диагностики: опытные ортодонты внимательно проведут осмотр, расспросят обо всех особенностях здоровья, сделают 3D компьютерную томографию, которую вместе с докторами проанализирует искусственный интеллект Diagnocat.

— Подготовка к установке: удаление кариозных тканей (лечение кариеса), санация полости рта, профессиональная гигиена — это необходимый комплекс мер для качественного результата и исключения осложнений во время лечения брекетами.

Этап 2. Установка брекетов

Сухая обработка: зубы высушиваются, чтобы обеспечить лучшее сцепление цемента с брекетами.

Нанесение ортодонтического цемента: на каждую зубную поверхность, где будет установлен брекет, наносится специальный ортодонтический цемент.

— Установка брекетов: керамические брекеты Damon Clear аккуратно приклеиваются на зубы. Ортодонт следит за правильной позиционностью каждого брекета.

Этап 3. Закрепление брекетов

Фиксация: после установки брекетов они дополнительно подсушиваются и проводится световая полимеризация цемента для его затвердевания.

— Установка дуги: на брекеты устанавливается ортодонтическая дуга, которая будет направлять зубы в нужное положение.

Брекеты Damon Clear: отзывы пациентов

Салькова О.В.
28.04.2026

Лучший врач! Спасибо!

Читать полностью
Киселева Елена Вячеславовна
28.04.2026

Мне очень нравится ваша клиника. Внимательный персонал. Душевная и приятная обстановка.

Читать полностью
Володин А.Ю.
28.04.2026

Крайне благодарен за столь чуткую внимательность и аккуратность к моему волнительному состоянию.

Читать полностью
Гурьянова Н.Е.
28.04.2026

Самая лучшая клиника в Подольске - от начала до конца ходила на приёмы с удовольствием. Процветания вашей клинике и в дальнейшем.

Читать полностью
Авакова М.А.
28.04.2026

Выше всех похвал! Искренняя благодарность.

Читать полностью
Басенко Айсылу Абдулхаевна
28.04.2026

Очень хороший доктор. Вежливая, все очень хорошо объясняет. Нам все нравится. Спасибо огромное!!!

Читать полностью
Комова Т.В.
28.04.2026

Диана - очень приятный, внимательный врач.
Приемы проходят очень комфортно. Я бы порекомендовала этого ортодонта знакомым. И в целом весь персонал очень вежливый и приятный.

Читать полностью
Акулаева София Сергеевна
28.04.2026

Самый лучший врач на свете! Очень внимательная. Профессионал в своем деле! 10 из 10.

Читать полностью
Захаров А.В.
28.04.2026

Большое спасибо за качественный подход и результат.

Читать полностью
Кузьменко А.В.
28.04.2026

Очень вежливый, внимательный врач.

Читать полностью
Степаненко С.С.
28.04.2026

Профессионал своего дела. Очень нравится посещать приём к врачу! Самый лучший врач! Буду всем рекомендовать!:)

Читать полностью
Костров А.А.
28.04.2026

Очень внимательный, приветливый, отзывчивый врач

Читать полностью
Яникина Милена Александровна
28.04.2026

Мне все очень понравилось. Врач очень вежливая и профессионал своего дела. Координатор - супер!

Читать полностью
Ковалева О.А.
28.04.2026

Большое спасибо за оказанные услуги. Я довольна качеством услуг. Благодарю за вежливость и внимательность ко мне и моим зубам

Читать полностью
Александр Б
28.04.2026

Добрый день!
Каждый специалист, мастер своего дела!
Кристина Игоревна, очень отзывчива и внимательна к деталям, проходим лечение всей семьёй.
Спасибо!)
(Отзыв оставлен на Яндекс.Карты)

Читать полностью
Пациент +7 977 26XXXXX
28.04.2026

Хожу в клинику с августа 2024 г. и к терапевту, и к гнатологу, и к ортодонту. Сейчас конкретно прохожу лечение у гнатолога Цой А. А. Исправляем прикус. Все отлично. Удобная система с координаторами, иногда, если что-то срочное, пишу напрямую по Вотсап, и меня консультируют. Был случай, нужно было связаться с врачом, написала координатору, и они сами ему написали, все решили. Также вожу свою маленькую дочь, первый раз на приеме были в 1,6 г. Начала водить пораньше, чтобы не боялась, в итоге вообще не пикнула. Бесплатная парковка, всегда есть места.
(Отзыв оставлен на ПРОДОКТОРОВ)

Читать полностью
Пациент
28.04.2026

Посещаю клинику уже давно, знакома с многими врачами, всегда проф подход! Гвоздев Станислав отличный хирург удалил 3 восьмерки легким движением руки, последнюю забрала Зильберман Надежда самая нежная рука, не почуяла даже укола! Просто вау!
Отдельное спасибо Дарье Олеговне за брекеты и Джамовой А.К за пролеченный кариес чувствуется рука профессионала
Рекомендую всем!
(Отзыв оставлен на Яндекс.Карты)

Читать полностью
Анасия Г.
28.04.2026

Находимся в поиске ортодонта, для дальнейшего лечения прикуса у ребёнка. На приёме были у Дебелой АН, почему-то сразу захотелось довериться ей. На первом приёме прошли полную диагностику для составления плана лечения.
Надеемся на хороший результат. Позже добавлю отзыв.
(Отзыв оставлен на Яндекс.Карты)

Читать полностью
Пациент +7 958 18XXXXX
28.04.2026

Планировала ортодонтическое лечение, т. к. ""щелкал"" сустав. Пришла на консультацию сначала к гнатологу, Артем Аркадьевич проанализировал снимок и приняли решение делать функциональную диагностику ВНЧС. Спустя уже 2 недели в новом положении челюсти прошли головные боли и мигрень​, сон стал лучше. :) Спасибо большое доктору! Очень внимательный и грамотный специалист! Рассказывал каждый этап. Были коррекции капы​ каждую неделю, сейчас поправим немного брекетами и я счастлива! Спасибо!
Понравилось: клиника в целом, чисто и уютно, вкусный кофе. :) После приема все подробно рассказал координатор и был всегда на связи, отвечал на каждый мой вопрос.
(Отзыв оставлен на ПРОДОКТОРОВ)

Читать полностью
Илья Кочергин
28.04.2026

Все отлично! Очень профессионально сделали зубы. Лечусь только здесь.
(Отзыв оставлен на Яндекс.Карты)

Читать полностью
Sofiya Kotskaia
28.04.2026

Хожу на протяжении года в клинику Dental Way к самому прекрасному ортодонту Анастасии Авраменко. Замечательная клиника, на входе всегда есть бахилы, встречает вежливый администратор, в туалете всегда стоят одноразовые зубные щетки , ортодонт Анастасия всегда очень аккуратно делает работу, объясняет последовательность действий, что и зачем мы сделали сегодня, а это очень важно. В общем спасибо!
(Отзыв оставлен на Google Карты)

Читать полностью
Пациент +7 985 45XXXXX
28.04.2026

Кристина Игоревна - настоящий специалист своего дела и самый лучший врач, у которого я когда-либо была. Я проходила лечение на брекет-системе 1,5 года. На приемах всегда была крутая атмосфера благодаря Кристине Игоревне. Она всегда интересовалась моим самочувствием и настроением, рассказывала, как правильно ухаживать за брекетами. Хочу выразить Кристине Игоревне огромную благодарность за красивую улыбку. ❤️ Я очень рада, что попала именно к ней!
(Отзыв оставлен на ПРОДОКТОРОВ)

Читать полностью
Анастасия Кобелева
28.04.2026

Клиника очень красивая, уютная, зеркально красивая, свет такой ещё везде! Приветливые админы, необычно было увидеть и узнать что есть координатор тоже приятная Марина, которая ответит на все вопросы и пишет в ватсапе.
Ассистенты мужчины неожиданно, все очень опрятно аккуратно!
Не знала что у нас в Подольске есть такая клиника и причём давно.
Кристина Игоревна чёткая, всё по делу, по плану рассказывает показывает. Очень приятная и всегда с улыбкой, грамотная,аккуратная! Удобно что есть сразу снимок кт, что все приходит на почту и на ватсап все фото.
Ани гигиенист тоже такая милая, хорошенькая девушка.
Все очень добродушные, отзывчивые и улыбчивые!
Заходишь и сразу улыбки даже если нет настроения получаешь позитив и заряд уходя от клиники от одного даже общения!
Спасибо что все такие жизнерадостные!
(Отзыв оставлен на Яндекс.Карты)

Читать полностью
Инна В.
28.04.2026

Хочу выразить благодарность - ортодонту Антоновой Кристине Игоревне за её профессионализм, внимательность, дочка довольна . А также, очень хочу отметить Абдусаламова Мурада Рассуловича, обычно детки боятся мужчин-стоматологов, а тут с удовольствием вошла в контакт и попросилась ходить теперь только к этому врачу на лечение.
(Отзыв оставлен на Яндекс.Карты)

Читать полностью
Вячеслав Н.
28.04.2026

Мне нравиться ,что я здесь не боюсь , доверяю докторам . Вылечили 3 зубы , ничего не почувствовала. Хочу выразить огромное благодарность Чекунков О.В , человек с большой буквой , также Абрамкина Ю.А- молодая , но знает свое дело . Для меня в клинике дороговато , но есть бонусы , если даже мелочь , все ровно приятно . Всем спасибо
(Отзыв оставлен на Яндекс.Карты)

Читать полностью
Гюзаль Кублицкая
28.04.2026

Посетила клинику и хочу выразить отдельную благодарность за профессионализм доктору Цой А.А. Очень грамотный, дипломатичный, отзывчивый врач. Желаю Клинике подбирать врачей именно таких профессионалов и еще отдельная благодарность Евгении Ярославовне, извините не запомнила фамилию и администратору Елене. Процветания клинике и с наступающим новым 2025 годом! В будущем планирую лечение Зубов именно у вас.
(Отзыв оставлен на Яндекс.Карты)

Читать полностью
Пациент +7 958 39XXXXX
28.04.2026

Прохожу ортодонтическое лечение у Оксаны Владимировны, доктор очень нравится. Лечение подходит к концу, доктора рекомендую всем своим знакомым. Многие друзья и родственники по моим рекомендациям обратились к Вам.
Понравилось: вежливые админы, отличный координатор, в целом, персонал. В зоне ожидания печеньки с предсказаниями, кофе и чай.
(Отзыв оставлен на ПРОДОКТОРОВ)

Читать полностью
Пациент +7 995 59XXXXX
28.04.2026

Хожу к Евгении уже 1,5 года. Установили брекеты. До этого прошла полную подготовку в клинике. Удобно, что в любой момент можно записаться и подойти, если что-то беспокоит. Лечением довольна. Прогресс значительный. С врачом легко поддерживать связь через своего менеджера. Клинику рекомендую, врача тоже.
Понравилось: отношение к делу. Клиника.
Не понравилось: время ожидания.
(Отзыв оставлен на ПРОДОКТОРОВ)

Читать полностью
Пациент +7 925 00XXXXX
28.04.2026

Появилось желание сделать максимально функциональным работу челюстей и красивую зону улыбки как бонус. Обратился, все рассказали, решили поставить брекеты, врач супер, все аккуратно, рад что обратился. Уже рекомендовал близким. Стоимость ниже, чем в Москве, изучал изначально, перелопатил Интернет. Лечение точно помогло.
Понравилось: профи, все подробно объясняет и аккуратно делает.
(Отзыв оставлен на ПРОДОКТОРОВ)

Читать полностью
Пациент +7 915 05XXXXX
28.04.2026

Пришла по рекомендации в клинику. Была записана на прием к ортодонту. Хочу выразить благодарность доктору Абрамкиной Ю. А. за чуткое отношение к пациентам. Была очень внимательна, составила план лечения, максимально подробно объяснила все этапы лечения. Предложила варианты на выбор (элайнеры​ или брекеты​). Я выбрала брекеты, так как я неорганизованная, могу забыть в ресторане в салфетке. Сейчас необходимо сделать гигиену и буду ставить брекеты.
Понравилось: администраторы внимательные, предложили чай или кофе.
(Отзыв оставлен на ПРОДОКТОРОВ)

Читать полностью
Пациент +7 967 07XXXXX
28.04.2026

Была на приёме у доктора по рекомендации знакомых. До этого обошла много клиник и слышала разные мнения, но только Юлия Александровна сказала мне то, с чем сложилась моя картинка будущих зубов. Впереди, конечно, предстоит большая и длительная работа, но это того стоит. Сейчас мы сняли слепки, и дальше меня ждут два года лечения, а затем имплантация и белоснежная улыбка.

Читать полностью
Пациент +7 925 44XXXXX
28.04.2026

Дарья Олеговна - замечательный врач! Вот уже второй год я прохожу лечение, и оно подходит к своему завершению. Обратилась с проблемой прикуса и скученных зубов. Мне быстро и четко составили план лечения. На все мои вопросы врач дала ответы и подробно все объяснила. Хотелось бы отметить, что доктор очень вежливый, позитивный, всегда внимательно и аккуратно проводила приемы. Давала рекомендации и была на связи. На данный момент я очень довольна результатом и готовлюсь к установке ретейнера и кап. Мои зубы значительно изменились в лучшую сторону, и я с нетерпением жду дня снятия брекетов. Однозначно и от всей души рекомендую доктора и буду советовать его своим родным и близким!
(Отзыв оставлен на ПРОДОКТОРОВ)

Читать полностью
Вера Градобоева
28.04.2026

У дочери раскрошился молочный зуб, в поликлинику и вырвать наотрез отказалась , боялась. Долго искала клинику, чтобы были детские врачи и хорошие отзывы. Записалась на прием к Биктимировой. С первых минут клиника понравилась и мне и дочери. Врач и медсестра сразу наладили контакт с ребёнком. О состоянии зубов и плане лечения мне подробно все объяснили. Зуб удалили быстро и безболезненно, дочь ничего не заметила, смотрела в этот момент мультфильм. Были на чистке у Набиева Н., тоже прошло все хорошо, врач подробно объяснил дочери про важность ухода за зубами ( пока ухаживает без напоминаний)))). Еще ходили к ортодонту Киревичевой Д, также доступно объяснила состояние и дальнейшие наши действия в лечении. У меня очень хорошее впечатление о клинике, продолжаем лечение там.
(Отзыв оставлен на Яндекс.Карты)

Читать полностью
Пациент +7 915 11XXXXX
28.04.2026

Сначала приняла решение ставить коронки по всему фронту. Ортопед отправил на консультацию к ортодонту, так как у меня была очень большая скученность зубов на обеих челюстях и неправильный прикус. Дальше пошло ортодонтическое лечение с выравниванием зубов и исправлением прикуса. Это, конечно, удлинило срок получения красивой улыбки, но стоило того. Оксана Владимировна просто волшебник - мои кривые деформированные зубы, которые были для меня огромным комплексом, превратила в приличный ровный рот. Ортопед пока не нужен теперь. Я даже не ожидала такого эффекта.
Понравилось: очень доступное, подробное и профессионально квалифицированное описание моей проблемы с дальнейшим лечением. Спокойное и доверительное общение доктора располагает и даже успокаивает. Вот все бы доктора были такими!
Не понравилось: отрицательных моментов у меня не было.
(Отзыв оставлен на ПРОДОКТОРОВ)

Читать полностью
Пациент +7 968 50XXXXX
28.04.2026

Я долгое время ходил с неровными зубами и очень стеснялся из-за этого. Решил обратиться в стоматологию "Dental way" к Оксане Владимировне. Оксана Владимировна очень компетентный ортодонт. Изначально она сказала мне, что нужно ставить брекеты и ходить с ними 1.5 года, все лечение шло по плану и, наконец, теперь я не стесняюсь своей улыбки. :)
(Отзыв оставлен на ПРОДОКТОРОВ)

Читать полностью
Пациент +7 915 49XXXXX
28.04.2026

Мне 38 лет. У меня с детства были разреженные зубы, но в силу возраста зубы начали расходиться и меня начало это раздражать. Пришло время заняться эстетикой улыбки и решил обратиться в данную клинику. Я сам требовательный и щепетильный человек и я очень рад, что все-таки есть врачи, которые любят свою работу и рады своей профессии, что выбрали ее и которым можно доверить свое здоровье. Хочу выразить огромную благодарность стоматологу-ортодонту Прохоренко Оксане Владимировне, которая точно знает, что такое эстетика вашей улыбки. Очень требовательно относится к своей работе и порядочно. Очень рад, что у меня есть врач, которой можно доверить свое здоровье.
Понравилось: порядочность, вежливость, профессионализм, требовательна.
(Отзыв оставлен на ПРОДОКТОРОВ)

Читать полностью
Дарья
28.04.2026

Врач подрезала дугу на брекет-системе. Первично они делают кучу снимков, что мне не очень понравилось! Сказал, что снимки делают для отчетности. По факту мне отсняли весь рот. После звонили и предлагали услуги, потому как нашли кариес. С одной стороны, вроде они посвятили меня, что обратить внимание на зуб, с другой, мы не совсем о таком договаривались. Киревичева Дарья Олеговна готова помочь. Доктор доброжелательная.
(Отзыв оставлен на СберЗдоровье)

Читать полностью
Кристина С.
28.04.2026

Хочу выразить огромную благодарность ортодонту, Кристине Игоревне, она очень чуткая, позитивная и профессионал своего дела! Весь год лечения прошел идеально и результат очень радует!
(Отзыв оставлен на Яндекс.Карты)

Читать полностью
Д.З.
28.04.2026

Отличный сервис , всегда приветливый персонал, грамотные специалисты ! Мы наши своего ортодонта , Конопленко Юлию и очень этому рады .
(Отзыв оставлен на Яндекс.Карты)

Читать полностью
Пациент +7 914 91XXXXX
28.04.2026

Я обратилась в данную клинику для диагностики и дальнейшей установки брекет-системы. Посетила двух врачей, стоматолог-терапевт Ильязов С. С. рассказал, что нужно обязательно вылечить кариес​, записалась сразу на лечение кариеса​ на 4-х зубах, разбила на два приема и вот вчера, 26.02.25 закончили лечения кариеса. Врач — профессионал своего дела, спасибо ему за комфортное лечение, было совсем чуть-чуть неприятно, но терпимо Посетила врача-ортодонта Юферову Е. Н., консультация прошла отлично, врач рассказала про все нюансы исправления зубов брекетами, и я решила, что именно с ней готова пройти этот путь. Теперь прохожу подготовку перед установкой: лечение кариеса и удаление зубов мудрости.
(Отзыв оставлен на ПРОДОКТОРОВ)

Читать полностью

Специалисты по брекетам Damon Clear

Получить консультацию

Брекеты Damon Clear: стоимость услуги

  • Элайнеры Star Smile - стандартный курс (2 челюсти) от 507600 ₽
  • Брекет-система Pitt's Clear (безлигатурная, металл) на 2 челюсти. Стоимость всего лечения (срок 12-18 месяцев), установку и снятие, плановые приемы и ретенционный этап. 1 категория сложности 509600 ₽
  • Брекет-система Damon Clear (безлигатурная, металл) на 2 челюсти. Стоимость всего лечения (срок 12-18 месяцев), установку и снятие, плановые приемы и ретенционный этап. 1 категория сложности от 565800 ₽
  • Элайнеры Flexi Ligner - стандартный курс (2 челюсти) от 497800 ₽
  • Элайнеры 3D Smile - стандартный курс (2челюсть) от 507500 ₽
Все цены

Важное о брекетах Damon Clear

Что такое брекеты Damon Clear?
Брекеты Damon Clear — это самоцентрующиеся брекеты, которые имеют прозрачные либо полупрозрачные крепления, что делает их менее заметными на зубах по сравнению с традиционными металлическими брекетами.
Насколько эффективны Damon Clear?
Брекеты Damon Clear эффективны для большинства случаев необходимой ортодонтической коррекции, включая выравнивание зубов и исправление прикуса. Эффективность лечения зависит от индивидуальных особенностей каждого пациента и сложности случая.
Можно ли использовать Damon Clear для взрослых?
Да, брекеты Damon Clear подходят как для детей, так и для взрослых. Они особенно популярны среди тех, кто хочет менее заметное решение для ортодонтического лечения.
Нужно ли соблюдать специальную диету во время ношения брекетов?
Во время использования брекетов рекомендуется избегать жесткой, липкой или очень твердой пищи, чтобы избежать повреждений брекетов и дуги.
Как ухаживать за зубами с брекетами Damon Clear?
Важно регулярно чистить зубы, используя мягкую щетку и зубную пасту. Также рекомендуется использовать ополаскиватели для рта и дополнительные инструменты, такие как межзубные щетки или нить. Регулярные осмотры у стоматолога и профессиональная чистка зубов очень важны.

Все наши услуги

Нужны брекеты Damon Clear? Запишитесь на приём!

Брекеты Damon Clear в Мытищах

Брекеты Damon Clear - безлигатурная керамическая брекет-система, позволяющая исправить прикус малозаметно для окружающих. Замочки брекетов выполнены в белом цвете и имеют естественную прозрачность, а поэтому такие системы заметны лишь с близкого расстояния. Брекеты Damon Clear также называют эстетическими, так как они позволяют обрести красивую и здоровую улыбку без комплексов и стеснения.
Брекеты Damon Clear, созданные в США, отличаются не только высокой эстетикой. В отличие от аналогичных брекет-систем из керамики, Damon Clear не подвержены окрашиванию, поэтому подходят даже курильщикам. Тем не менее, мы все же рекомендуем расстаться с вредной привычкой.
Несмотря на хрупкость материала, брекеты данной системы крайне редко раскалываются. Кроме того, Damon Clear отличаются небольшим размером и особым замочком. Малогабаритность брекета облегчает период адаптации к конструкции. Специальный замочек позволяет легко, быстро и безболезненно заменять дугу в процессе лечения.
Несмотря на простоту открывания замочка, он прочно удерживает дугу и позволяет ей скользить внутри, ускоряя сроки лечения.
Керамические брекеты Damon Clear являются самолигирующими. Это значит, что конструкция не требует дополнительных вспомогательных элементов (лигатур). Кроме того, при лечении на безлигатурных брекетах можно реже посещать стоматолога-ортодонта.
Безусловно, стоимость лечения на брекетах Damon Clear выше, чем у металлических аналогов. Цена объясняется неоспоримыми преимуществами данной брекет-системы.