Взрослым
Детям
+7 (958) 405 96 79
Записаться по Telegram
Услуги взрослым
Услуги детям
Врачи
Цены
Акции
Отзывы
Наш блог
3 клиники
Солнцево
метро Солнцево, ул. Производственная, д.8, к.1
Мытищи
ул.Станционная 7, ТЦ Артимолл, 3 этаж
Подольск
ул.Маштакова, 3А
Клиники
Позвонить
Главная
Записаться
Меню
Поиск по сайту
Найти
Популярные запросы
Лечение кариеса
Удаление зубов
Имплантация
Отбеливание зубов
История поиска
Очистить
Врачи
Цены
Акции
Отзывы
Наш блог
Услуги взрослым
Диагностика зубов и десен, стоматологический чекап
Консультация врача-стоматолога
Первичная консультация с 3D-планированием
Рентген зубов
Компьютерная томография зубов
Терапевтическая стоматология (лечение зубов, кариес, пульпит периодонтит, реставрация)
Лечение кариеса
Композитная реставрация зубов
Лечение пульпита
Лечение периодонтита
Лечение каналов зуба (эндодонтия) под микроскопом
Хирургия стоматологическая, удаление зубов
Удаление зуба простое
Сложное удаление зуба
Удаление зуба мудрости
Сложное удаление зуба мудрости
Имплантация
Импланты Osstem
Имплантация зубов All-On-4 (все зубы на 4 имплантах)
Костная пластика
Имплантация зубов All-On-6 (все зубы на 6 имплантах)
Импланты Neodent
Синус лифтинг
Импланты Straumann
Имплантация передних зубов
Имплантация нижней челюсти
Имплантация верхней челюсти
Гнатология: лечение ВНЧС - при проблемах с суставом челюсти
Гнатология: диагностика и лечение ВНЧС
Сплинт-терапия (окклюзионная капа) для лечения ВНЧС
Функциональная диагностика
Ортопедия, протезирование: коронки, вкладки, виниры
Акриловый протез
Виниры E-max
Пластмассовая (временная) коронка на зуб
Керамическая вкладка на зуб
Бюгельный протез
Коронка из металлокерамики
Коронка из диоксида циркония
Керамическая коронка E-max
Ортодонтия (исправление прикуса): брекеты, элайнеры
Элайнеры 3D Smile
Подклейка брекета или ретейнера
Металлические брекеты
Брекеты Damon Q
Брекеты Damon Clear
Керамические брекеты
Лечение десен (пародонтология)
Диагностика пародонтоза
Лечение рецессии десны
Кюретаж пародонтальных карманов
Профилактика и профессиональная гигиена
Гигиеническая чистка зубов
Чистка ультразвуком
Реминерализация
Отбеливание зубов
Профессиональное отбеливание на аппарате Philips Zoom4
Услуги детям
Лечение зубов детям и подросткам
Лечение периодонтита зубов детям
Коронка на молочный зуб детям
Лечение кариеса молочных (временных) зубов детям
Лечение постоянных зубов детям и подросткам
Лечение пульпита постоянного зуба детям
Лечение пульпита молочного зуба детям
Лечение зубов детям во сне (под наркозом) и с седацией..
Лечение зубов детям под наркозом (Севоран)
Лечение зубов детям с седацией (закись азота)
Лечение зубов детям с особыми потребностями (РАС, ДЦП, СД)
Удаление зубов детям под наркозом
Детская стоматологическая хирургия
Удаление постоянных зубов детям
Пластика уздечки губы детям
Пластика уздечки языка детям
Удаление зубов мудрости детям и подросткам
Удаление молочных зубов детям
Удаление молочных зубов сложное
Диагностика зубов у детей
Рентген зубов детям
Визиограф (цифровой рентген зубов) детям
Компьютерная томография (3D КЛКТ) зубов детям
Консультация детского стоматолога
Комплексные профилактические программы
Программа профилактики для детей 3-5 лет
Программа профилактики для детей 6-14 лет
Программа профилактики для детей 15-18 лет
Ортодонтия (исправление прикуса) детям и подросткам
Применение лицевой маски
Съёмные аппараты (пластинки) для исправления прикуса детям
Капы и трейнеры детям и подросткам
Брекеты детям и подросткам
Несъёмные аппараты для исправления прикуса детям и подросткам
Элайнеры детям и подросткам
Гигиена зубов детям и профилактика
Профессиональная гигиена молочных зубов детям
Профессиональная гигиена зубов детям при смешанном прикусе
Профессиональная гигиена постоянных зубов детям
Герметизация (запечатывание) фиссур зубов детям
Профилактические осмотры детей у стоматолога
Удаление налета Пристли
Фторирование зубов детям
Врачи
Цены
Акции
Отзывы
Наш блог
3 клиники
Солнцево
Мытищи
Подольск
Услуги для взрослых
Диагностика зубов и десен, стоматологический чекап
Диагностика зубов и десен, стоматологический чекап
Консультация врача-стоматолога
Первичная консультация с 3D-планированием
Рентген зубов
Компьютерная томография зубов
Терапевтическая стоматология (лечение зубов, кариес, пульпит периодонтит, реставрация)
Терапевтическая стоматология (лечение зубов, кариес, пульпит периодонтит, реставрация)
Лечение кариеса
Композитная реставрация зубов
Лечение пульпита
Лечение периодонтита
Лечение каналов зуба (эндодонтия) под микроскопом
Хирургия стоматологическая, удаление зубов
Хирургия стоматологическая, удаление зубов
Удаление зуба простое
Сложное удаление зуба
Удаление зуба мудрости
Сложное удаление зуба мудрости
Имплантация
Имплантация
Импланты Osstem
Имплантация зубов All-On-4 (все зубы на 4 имплантах)
Костная пластика
Имплантация зубов All-On-6 (все зубы на 6 имплантах)
Импланты Neodent
Синус лифтинг
Импланты Straumann
Имплантация передних зубов
Имплантация нижней челюсти
Имплантация верхней челюсти
Гнатология: лечение ВНЧС - при проблемах с суставом челюсти
Гнатология: лечение ВНЧС - при проблемах с суставом челюсти
Гнатология: диагностика и лечение ВНЧС
Сплинт-терапия (окклюзионная капа) для лечения ВНЧС
Функциональная диагностика
Ортопедия, протезирование: коронки, вкладки, виниры
Ортопедия, протезирование: коронки, вкладки, виниры
Акриловый протез
Виниры E-max
Пластмассовая (временная) коронка на зуб
Керамическая вкладка на зуб
Бюгельный протез
Коронка из металлокерамики
Коронка из диоксида циркония
Керамическая коронка E-max
Ортодонтия (исправление прикуса): брекеты, элайнеры
Ортодонтия (исправление прикуса): брекеты, элайнеры
Элайнеры 3D Smile
Подклейка брекета или ретейнера
Металлические брекеты
Брекеты Damon Q
Брекеты Damon Clear
Керамические брекеты
Лечение десен (пародонтология)
Лечение десен (пародонтология)
Диагностика пародонтоза
Лечение рецессии десны
Кюретаж пародонтальных карманов
Профилактика и профессиональная гигиена
Профилактика и профессиональная гигиена
Гигиеническая чистка зубов
Чистка ультразвуком
Реминерализация
Отбеливание зубов
Отбеливание зубов
Профессиональное отбеливание на аппарате Philips Zoom4
Найти услугу
Найти
Услуги для детей
Лечение зубов детям и подросткам
Лечение зубов детям и подросткам
Лечение периодонтита зубов детям
Коронка на молочный зуб детям
Лечение кариеса молочных (временных) зубов детям
Лечение постоянных зубов детям и подросткам
Лечение пульпита постоянного зуба детям
Лечение пульпита молочного зуба детям
Лечение зубов детям во сне (под наркозом) и с седацией..
Лечение зубов детям во сне (под наркозом) и с седацией..
Лечение зубов детям под наркозом (Севоран)
Лечение зубов детям с седацией (закись азота)
Лечение зубов детям с особыми потребностями (РАС, ДЦП, СД)
Удаление зубов детям под наркозом
Детская стоматологическая хирургия
Детская стоматологическая хирургия
Удаление постоянных зубов детям
Пластика уздечки губы детям
Пластика уздечки языка детям
Удаление зубов мудрости детям и подросткам
Удаление молочных зубов детям
Удаление молочных зубов сложное
Диагностика зубов у детей
Диагностика зубов у детей
Рентген зубов детям
Визиограф (цифровой рентген зубов) детям
Компьютерная томография (3D КЛКТ) зубов детям
Консультация детского стоматолога
Комплексные профилактические программы
Комплексные профилактические программы
Программа профилактики для детей 3-5 лет
Программа профилактики для детей 6-14 лет
Программа профилактики для детей 15-18 лет
Ортодонтия (исправление прикуса) детям и подросткам
Ортодонтия (исправление прикуса) детям и подросткам
Применение лицевой маски
Съёмные аппараты (пластинки) для исправления прикуса детям
Капы и трейнеры детям и подросткам
Брекеты детям и подросткам
Несъёмные аппараты для исправления прикуса детям и подросткам
Элайнеры детям и подросткам
Гигиена зубов детям и профилактика
Гигиена зубов детям и профилактика
Профессиональная гигиена молочных зубов детям
Профессиональная гигиена зубов детям при смешанном прикусе
Профессиональная гигиена постоянных зубов детям
Герметизация (запечатывание) фиссур зубов детям
Профилактические осмотры детей у стоматолога
Удаление налета Пристли
Фторирование зубов детям
Найти услугу
Найти
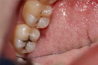
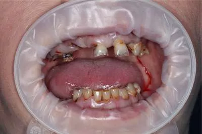
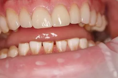
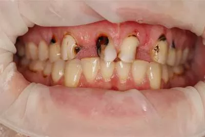
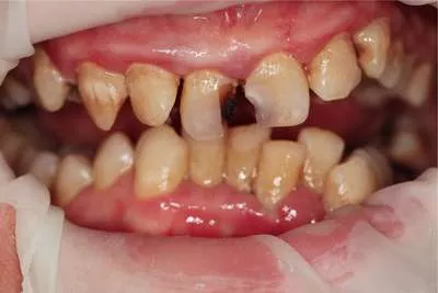
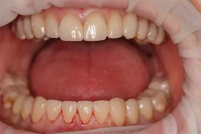
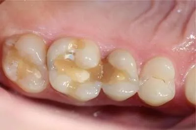
Фотографии До и После
Назад
Фото стоматологических работ
Клиника
Все клиники
Солнцево
Мытищи
Подольск
Направление
Все
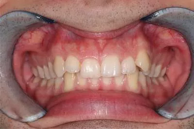
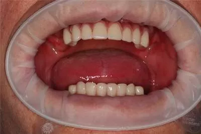
Имплантация передних зубов в клинике
Акриловый протез
Брекеты Damon Clear
Брекеты Damon Q
Брекеты детям и подросткам
Бюгельный протез
Визиограф (цифровой рентген зубов) детям
Виниры E-max
Герметизация (запечатывание) фиссур зубов детям
Гигиеническая чистка зубов
Гнатология: диагностика и лечение ВНЧС
Диагностика пародонтоза
Имплантация верхней челюсти
Имплантация зубов All-On-4 (все зубы на 4 имплантах)
Имплантация зубов All-On-6 (все зубы на 6 имплантах)
Имплантация нижней челюсти
Имплантация передних зубов
Импланты Neodent
Импланты Osstem
Импланты Straumann
Капы и трейнеры детям и подросткам
Керамическая вкладка на зуб
Керамическая коронка E-max
Керамические брекеты
Композитная реставрация зубов
Компьютерная томография (3D КЛКТ) зубов детям
Компьютерная томография зубов
Консультация врача-стоматолога
Консультация детского стоматолога
Коронка из диоксида циркония
Коронка из металлокерамики
Коронка на молочный зуб детям
Костная пластика
Кюретаж пародонтальных карманов
Лечение зубов детям под наркозом (Севоран)
Лечение зубов детям с особыми потребностями (РАС, ДЦП, СД)
Лечение зубов детям с седацией (закись азота)
Лечение каналов зуба (эндодонтия) под микроскопом
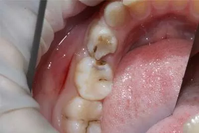
Лечение кариеса
Лечение кариеса молочных (временных) зубов детям
Лечение периодонтита
Лечение периодонтита зубов детям
Лечение постоянных зубов детям и подросткам
Лечение пульпита
Лечение пульпита молочного зуба детям
Лечение пульпита постоянного зуба детям
Лечение рецессии десны
Металлические брекеты
Несъёмные аппараты для исправления прикуса детям и подросткам
Первичная консультация с 3D-планированием
Пластика уздечки губы детям
Пластика уздечки языка детям
Пластмассовая (временная) коронка на зуб
Подклейка брекета или ретейнера
Применение лицевой маски
Программа профилактики для детей 15-18 лет
Программа профилактики для детей 3-5 лет
Программа профилактики для детей 6-14 лет
Профессиональная гигиена зубов детям при смешанном прикусе
Профессиональная гигиена молочных зубов детям
Профессиональная гигиена постоянных зубов детям
Профессиональное отбеливание на аппарате Philips Zoom4
Профилактические осмотры детей у стоматолога
Реминерализация
Рентген зубов
Рентген зубов детям
Синус лифтинг
Сложное удаление зуба
Сложное удаление зуба мудрости
Сплинт-терапия (окклюзионная капа) для лечения ВНЧС
Съёмные аппараты (пластинки) для исправления прикуса детям
Удаление зуба мудрости
Удаление зуба простое
Удаление зубов детям под наркозом
Удаление зубов мудрости детям и подросткам
Удаление молочных зубов детям
Удаление молочных зубов сложное
Удаление налета Пристли
Удаление постоянных зубов детям
Фторирование зубов детям
Функциональная диагностика
Чистка ультразвуком
Элайнеры 3D Smile
Элайнеры детям и подросткам
Врач
Все
Героева Амина Алихановна
Аббасов Анар Исмаилович
Абдуллаев Эмиль Илхамович
Абрамкина Юлия Александровна
Акимова Софья Александровна
Акопян Артур Арменович
Алёхин Роман Вадимович
Алиева Айсель Асиф Кызы
Баскаева Валерия Руслановна
Бирюкова Дарья Викторовна
Галстян Мариам Вардановна
Гвоздев Станислав Владимирович
Геворгян Акоп Петикович
Головченко Семён Геннадьевич
Демидов Денис Александрович
Джамоева Анна Кирилловна
Дзарахова Хава Башировна
Ермакова Мария Петровна
Зарицкая Надежда Александровна
Зильберман Надежда Геннадьевна
Киревичева Дарья Олеговна
Конопленко Юлия Сергеевна
Кочуков Никита Валерьевич
Купцова Оксана Викторовна
Лайшев Виталий Андреевич
Лукина Анастасия Андреевна
Миляева Полина Дмитриевна
Минасян Анаит Андраниковна
Муравьев Максим Андреевич
Нагимуллина Эмилия Рамилевна
Оганян Ани Анушавановна
Огмрцян Бениамин Арменакович
Паршутина Елизавета Валерьевна
Прохоренко Оксана Владимировна
Репич Валерия Николаевна
Рыбакова Ксения Евгеньевна
Серруто Диас Эстефания-Фелисия Карлосовна
Силкин Игорь Федорович
Сульдина Ирина Николаевна
Тимофеев Дмитрий Евгеньевич
Толибов Толиб Бахтиёрович
Труханова Ольга Евгеньевна
Тур Дмитрий Владимирович
Хадикова Белла Руслановна
Цыздоев Ибрагим Иссаевич
Чекомасова Екатерина Васильевна
Чернова Виктория Викторовна
Шадрина Елена Олеговна
Юферова Екатерине Нугзаровна
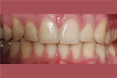
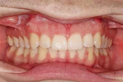
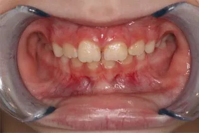
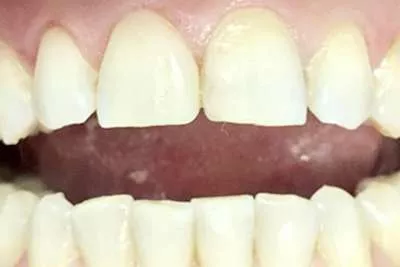
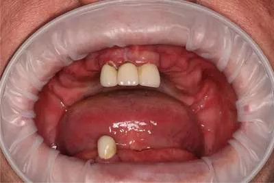
До
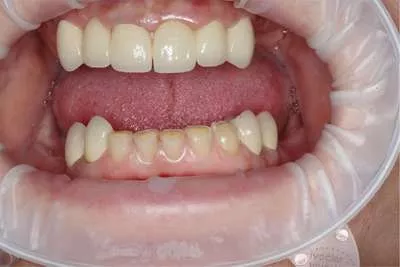
После
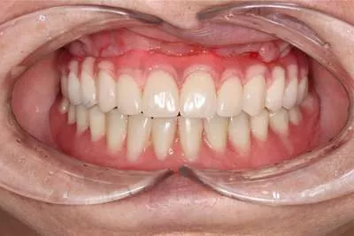
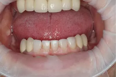
Имплантация зубов All-On-4 (все зубы на 4 имплантах)
Подробнее
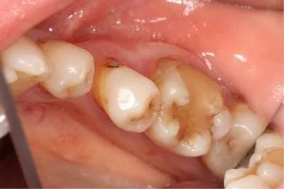
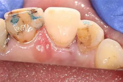
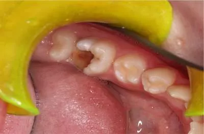
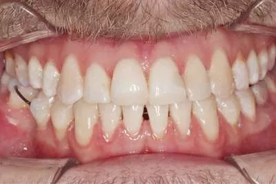
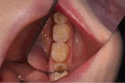
До
После
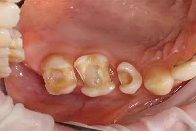
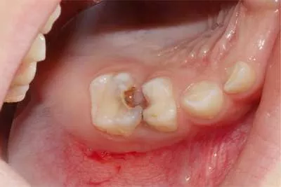
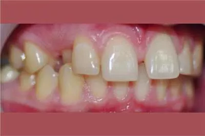
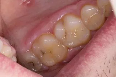
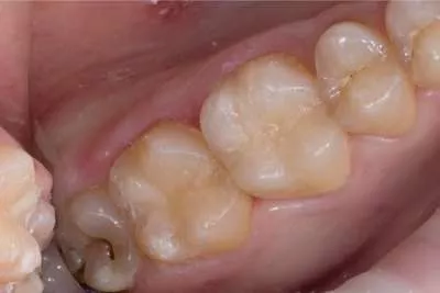
Лечение кариеса
Доктора:
Аббасов Анар Исмаилович
Клиника:
Мытищи
Подробнее
Новости 1 - 20 из 25
Начало | Пред. |
1
2
|
След.
|
Конец
Запись на прием
Имя
Телефон
Согласен на
обработку персональных данных
Записаться на приём
Заявка отправлена!
Мы свяжемся с вами в ближайшее время
ОК
Задать вопрос
ФИО
Телефон
E-mail
Сообщение
Согласен на
обработку персональных данных
Отправить
Заявка отправлена!
Мы свяжемся с вами в ближайшее время
ОК
Оставить отзыв
ФИО
Еmаil*
Клиника
Клиника Dental Way
Мытищи
Подольск
Солнцево
Врач
Врач Dental Way
Героева Амина Алихановна
Аббасов Анар Исмаилович
Абдуллаев Эмиль Илхамович
Абрамкина Юлия Александровна
Акимова Софья Александровна
Акопян Артур Арменович
Алёхин Роман Вадимович
Алиева Айсель Асиф Кызы
Баскаева Валерия Руслановна
Бирюкова Дарья Викторовна
Галстян Мариам Вардановна
Гвоздев Станислав Владимирович
Геворгян Акоп Петикович
Головченко Семён Геннадьевич
Демидов Денис Александрович
Джамоева Анна Кирилловна
Дзарахова Хава Башировна
Ермакова Мария Петровна
Зарицкая Надежда Александровна
Зильберман Надежда Геннадьевна
Киревичева Дарья Олеговна
Конопленко Юлия Сергеевна
Кочуков Никита Валерьевич
Купцова Оксана Викторовна
Лайшев Виталий Андреевич
Лукина Анастасия Андреевна
Миляева Полина Дмитриевна
Минасян Анаит Андраниковна
Муравьев Максим Андреевич
Нагимуллина Эмилия Рамилевна
Оганян Ани Анушавановна
Огмрцян Бениамин Арменакович
Паршутина Елизавета Валерьевна
Прохоренко Оксана Владимировна
Репич Валерия Николаевна
Рыбакова Ксения Евгеньевна
Серруто Диас Эстефания-Фелисия Карлосовна
Силкин Игорь Федорович
Сульдина Ирина Николаевна
Тимофеев Дмитрий Евгеньевич
Толибов Толиб Бахтиёрович
Труханова Ольга Евгеньевна
Тур Дмитрий Владимирович
Хадикова Белла Руслановна
Цыздоев Ибрагим Иссаевич
Чекомасова Екатерина Васильевна
Чернова Виктория Викторовна
Шадрина Елена Олеговна
Юферова Екатерине Нугзаровна
Оказанные услуги
Имплантация передних зубов в клинике
Акриловый протез
Брекеты Damon Clear
Брекеты Damon Q
Брекеты детям и подросткам
Бюгельный протез
Визиограф (цифровой рентген зубов) детям
Виниры E-max
Герметизация (запечатывание) фиссур зубов детям
Герметизация (запечатывание) фиссур зубов детям
Гигиеническая чистка зубов
Гнатология: диагностика и лечение ВНЧС
Диагностика пародонтоза
Имплантация верхней челюсти
Имплантация верхней челюсти
Имплантация верхней челюсти
Имплантация зубов All-On-4 (все зубы на 4 имплантах)
Имплантация зубов All-On-6 (все зубы на 6 имплантах)
Имплантация нижней челюсти
Имплантация нижней челюсти
Имплантация нижней челюсти
Имплантация передних зубов
Импланты Neodent
Импланты Osstem
Импланты Straumann
Капы и трейнеры детям и подросткам
Керамическая вкладка на зуб
Керамическая коронка E-max
Керамические брекеты
Композитная реставрация зубов
Компьютерная томография (3D КЛКТ) зубов детям
Компьютерная томография зубов
Консультация врача-стоматолога
Консультация детского стоматолога
Коронка из диоксида циркония
Коронка из металлокерамики
Коронка на молочный зуб детям
Костная пластика
Кюретаж пародонтальных карманов
Лечение зубов детям под наркозом (Севоран)
Лечение зубов детям с особыми потребностями (РАС, ДЦП, СД)
Лечение зубов детям с седацией (закись азота)
Лечение каналов зуба (эндодонтия) под микроскопом
Лечение кариеса
Лечение кариеса молочных (временных) зубов детям
Лечение периодонтита
Лечение периодонтита зубов детям
Лечение постоянных зубов детям и подросткам
Лечение пульпита
Лечение пульпита молочного зуба детям
Лечение пульпита постоянного зуба детям
Лечение рецессии десны
Металлические брекеты
Несъёмные аппараты для исправления прикуса детям и подросткам
Первичная консультация с 3D-планированием
Пластика уздечки губы детям
Пластика уздечки языка детям
Пластмассовая (временная) коронка на зуб
Подклейка брекета или ретейнера
Применение лицевой маски
Применение лицевой маски
Программа профилактики для детей 15-18 лет
Программа профилактики для детей 3-5 лет
Программа профилактики для детей 6-14 лет
Профессиональная гигиена зубов детям при смешанном прикусе
Профессиональная гигиена зубов детям при смешанном прикусе
Профессиональная гигиена молочных зубов детям
Профессиональная гигиена молочных зубов детям
Профессиональная гигиена постоянных зубов детям
Профессиональная гигиена постоянных зубов детям
Профессиональное отбеливание на аппарате Philips Zoom4
Профилактические осмотры детей у стоматолога
Профилактические осмотры детей у стоматолога
Реминерализация
Рентген зубов
Рентген зубов детям
Синус лифтинг
Сложное удаление зуба
Сложное удаление зуба мудрости
Сплинт-терапия (окклюзионная капа) для лечения ВНЧС
Съёмные аппараты (пластинки) для исправления прикуса детям
Удаление зуба мудрости
Удаление зуба простое
Удаление зубов детям под наркозом
Удаление зубов мудрости детям и подросткам
Удаление молочных зубов детям
Удаление молочных зубов сложное
Удаление налета Пристли
Удаление налета Пристли
Удаление постоянных зубов детям
Фторирование зубов детям
Фторирование зубов детям
Функциональная диагностика
Чистка ультразвуком
Элайнеры 3D Smile
Элайнеры детям и подросткам
Оценка
Фото
Отзыв
Согласен на
обработку персональных данных
Отправить
Заявка отправлена!
Благодарим за Ваш отзыв!
ОК
Заявка отправлена!
Мы свяжемся с вами в ближайшее время
ОК