E-max — самые красивые и прочные виниры из стеклокерамики

Виниры E-max в Солнцево

Виниры E-max в Солнцево
от 52 700 рублей
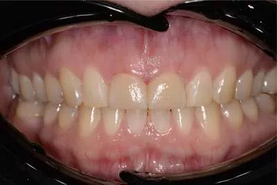
Керамические виниры Е-Мax — самый современный метод восстановления сильно разрушенных или хрупких передних зубов.
E-max виниры делают из высококачественного литиевого дисиликатного стекла, из-за чего они имеют очень естественный вид и высокую прочность. Виниры E-max прозрачны, гипоаллергенны и максимально эстетичны.
Идеальное восстановление вашей улыбки с E-max возможно прямо сейчас — ваши новые зубы невозможно будет отличить от натуральных!

Преимущества виниров E-max

  • Эстетика и естественность. Это самое яркое преимущество виниров Е-Мax. Они максимально приближены к цвету и прозрачности естественных зубов.
  • Высочайшая прочность и надежность. Крепкие виниры из стеклокерамики рассчитаны более, чем на 15 лет службы. Керамика Е-Max устойчива к пищевым красителям, холодному и горячему, не теряют внешний вид.
  • Биосовместимость. Безметалловые виниры Е-Мax не вызывают аллергии, не окисляются, никаких воспалений и осложнений.
Идеальное сочетание высочайшей эстетики и долговечности — это про Е-Мax! За безупречной улыбкой приходите в Dental Way.

Оцените результат преображения благодаря винирам E-max

☆☆☆☆☆

Диана, 28 лет

Проблемы, с которыми пациентка обратилась в Dental Way: несостоятельные композитные реставрации, отсутствие 12-го зуба, эстетическая неудовлетворенность зубным рядом, формой, размером зубов.

Решения в Dental Way:

  • Установка имплантата 12 зуба и коронки на него
  • Эстетическая реставрация передних зубов с использованием керамических виниров E-max — полностью восстановили эстетику зубного ряда
  • Отбеливание зубов по технологии ZOOM 4

Результаты до/после

До
После
До
После
До
После
До
После
До
После
До
После

Пакеты услуг "Виниры E-max"

Восстановление зуба керамическим виниром E-max

- Снятие слепков
- Восковое моделирование зуба (Wax-up)
- Временная (провизорная) коронка
- Подготовка зуба под винир E-max
- Анестезия
- Изготовление винира по технологии E-max (метод наслоения или раскрашивания) 
- Фиксация винира E-max

Виниры E-max: отзывы пациентов

Носков Е.В.
19.11.2025

Врач грамотен и внимателен

Читать полностью
Латчик Е.В.
19.11.2025

Любимый врач - только к ней 3 года хожу!

Читать полностью
Мухарлямов В.Г.
19.11.2025

исключительно внимательный персонал. Очень трогательно врач относится к пациенту. Поддерживает, всегда спрашивает о состоянии. Весьма доволен обслуживанием.

Читать полностью
Сабанцев А.В.
19.11.2025

Все очень прекрасно выполнено. Большое спасибо!

Читать полностью
Галата Т.П.
19.11.2025

Мое хорошее настроение это Наталья Геннадьевна! Золотые руки! Прекрасный человек! Лечимся всей семьей! Спасибо!

Читать полностью
Медведев Николай Павлович
19.11.2025

Большое спасибо за оказанную услугу. Все было очень качественно сделано. Также спасибо ассистентке Анне.

Читать полностью
Кузнецова Е.В.
19.11.2025

Хорошо что я встретила Манжелей Н.Г. Мы лечимся у нее всей семьей.

Читать полностью
Алсараева О.В.
19.11.2025

Очень высокий уровень врача, удивительно приятно приходить на лечение. Спасибо!

Читать полностью
Тарасова Людмила Владимировна
19.11.2025

Очень благодарна Наталии Геннадьевне за ее профессионализм и человеческие качества

Читать полностью
Талошекина Кристина
19.11.2025

Вежливые и внимательные профи своего дела

Читать полностью
Лыкова М.В.
19.11.2025

Высококлассный специалист, лечение без боли и неприятных ощущений, доброжелательное отношение, полная консультация с ответами на все интересующие вопросы. Я в полном восторге! Спасибо!

Читать полностью
Русанова Анна Валерьевна
19.11.2025

Выражаю огромную благодарность Наталии Геннадьевне за ее высокий профессионализм, за ее внимание к пациентам. Лечимся у Наталии Геннадьевны всей семьей.

Читать полностью
Богатырев С.Б.
19.11.2025

Хороший врач, всем доволен!

Читать полностью
Волынин П.С.
19.11.2025

Отличный врач. Все очень понравилось. Спасибо.

Читать полностью
Бурдина Валентина Дмитриевна
19.11.2025

Все очень понравилось. Отлично.

Читать полностью
Богатырева Галина Петровна
19.11.2025

Замечательная клиника. Отзывчивый и вежливый персонал. Особая благодарность моему лечащему врачу - Манжелей Н.Г.
Спасибо!!!

Читать полностью
Сиришевская А.В.
19.11.2025

Благодарю, что сохранили зуб!

Читать полностью
Галато
19.11.2025

Я ее обожаю!!! Лечимся всей семьей!!! Самые лучшие руки, сердце!!! Позитивный супер специалист

Читать полностью
Спирина Елена Ивановна
19.11.2025

Прекрасная клиника, высоко квалифицированный врач и чудесный человек. Спасибо большое!

Читать полностью
Локоткова Н.Н.
19.11.2025

Безупречная клиника, врачи и администраторы! 5+++

Читать полностью
Гаврилин В. А.
19.11.2025

Самый лучший доктор. Желаю успехов. Всем крепкого здоровья.

Читать полностью
Конаровская И.В.
19.11.2025

Доктор Манжелей Н.Г. - очень хороший специалист!

Читать полностью
Кузнецова М.Е.
19.11.2025

Внимательно, четко, с пониманием и заботой. Спасибо!

Читать полностью
Красов В.В.
19.11.2025
Комарова И.Л.
19.11.2025

Врачи очень понравились. Руки золотые. Умники!!!

Читать полностью
Скибин Д.В.
19.11.2025

Опытный и квалифицированный специалист.Медицинский и административный персонал на высшем уровне.

Читать полностью
Савинкина И. В.
19.11.2025

Прием прошел очень хорошо.

Читать полностью
Косолапова Лариса Николаевна
19.11.2025

Огромное спасибо доктору Казарову Роланду Рафаэловичу за прекрасное лечение. Вы дали возможность для полноценной жизни! Всему персоналу клиники спасибо!!!

Читать полностью
Лазарян Рузанна Михайловна
19.11.2025

Клиника работает на высшем уровне. Врач - Казаров Роланд - профессионал, очень внимательный, не рекомендует ничего лишнего, отличный доктор. Все работы выполнены превосходно.

Читать полностью
Бубёнов С.А.
19.11.2025

Врач от Бога, золотые руки. Спасибо.

Читать полностью
Князева Екатерина Игоревна
19.11.2025

Все разъяснил, вежливо обращался, а главное качественное выполнение процедуры.

Читать полностью
Озерова Ирина Евгеньевна
19.11.2025

Спасибо за очень хорошее обслуживание.

Читать полностью
Елгян Кристина Генриховна
19.11.2025

Была у врача Казарова Роланда Рафаэловича. Мне все понравилось, удовлетворена визитом.

Читать полностью
Анучин В.
19.11.2025

Прием прошел замечательно. Спасибо доктору.

Читать полностью
Рязанова С.Л.
19.11.2025

Супер доктор.

Читать полностью
Мукроева Алина Юрьевна
19.11.2025

Хожу к данному врачу не первый день, все устраивает.

Читать полностью
Яшина Н.В.
19.11.2025

Респект!!! Самый лучший врач!!!

Читать полностью
Азриель Владимир Михайлович
19.11.2025

Хорошая клиника. Замечательный доктор!

Читать полностью
Смит Н.В.
19.11.2025

Внимательный, профессиональный врач, всё рассказал. Благодарю.

Читать полностью
Бабкина А.О.
19.11.2025

Спасибо за скорость и рекомендации. Ну и что все аккуратно и безболезненно.

Читать полностью
Новикова Наталья Юрьевна
19.11.2025

Счастлива, что нашла такого доктора! Спасибо!

Читать полностью
Юрьева М.Ю.
19.11.2025

Спасибо большое! Очень довольна проведенной работой. Доктор просто волшебник! Всегда был очень внимателен и профессионален. Еще раз спасибо! Всегда буду обращаться в вашу клинику.

Читать полностью
Хабибулина Л.А.
19.11.2025

Очень все понравилось.

Читать полностью
Политина И.В.
19.11.2025

Обслуживание Понравилось. Доктор Казаров просто класс!!!!

Читать полностью
Солдатова Ш.С.
19.11.2025

Все отлично! Спасибо!

Читать полностью
Бойчук Екатерина Алексеевна
19.11.2025

Спасибо большое за зубки.

Читать полностью
Политико Ирина Владимировна
19.11.2025

Замечательная клиника, самые лучшие врачи. Спасибо доктору за прекрасную работу. Спасибо!!!

Читать полностью
Есина С.В.
19.11.2025

Спасибо большое за профессионализм!

Читать полностью
Велижева В.И.
19.11.2025

Самый лучший доктор. Большое спасибо!!!

Читать полностью
Гаврилова В.И.
19.11.2025

Отличное обслуживание. Просто супер!

Читать полностью
Сароян Лилит К.
19.11.2025
Сахарова Ольга Владимировна
19.11.2025

Спасибо огромное, теперь буду улыбаться. Замечательный доктор!

Читать полностью
Захарова Арина Дмитриевна
19.11.2025

Очень долго наблюдаюсь у Роланда Рафаэловича. Всем довольна и всегда рекомендую друзьям этого доктора.

Читать полностью
Четверикова Анастасия Витальевна
19.11.2025

Все понравилось. Уже рекомендую знакомым. Спасибо!

Читать полностью
Бойченко Н.
19.11.2025

Очень вежливый доктор. Все понравилось, большое спасибо Вам. Приду еще!!!

Читать полностью
Зыкова О.В.
19.11.2025

Благодарю за терпение, желание помочь пациенту, за приятное общение и профессиональную консультацию. Успехов всему коллективу! Спасибо, что делаете нас счастливыми!

Читать полностью
Белик Е.Б.
19.11.2025

Безупречная работа, высокий профессионализм, точность в работе, высокий уровень диагностики и лечения. Рекомендую близкому окружению.

Читать полностью
Разыграева М.М.
19.11.2025

Качество обслуживания отличное. Огромное спасибо!

Читать полностью
Берсенева Лилия Анатольевна
19.11.2025

Быстро, четко. Отлично!

Читать полностью
Синицына Д.М.
19.11.2025

Отличная клиника, профессиональный подход, доступные цены. Буду рекомендовать

Читать полностью
Фролова Ольга Владимировна
19.11.2025

Доктор понравился, быстро, четко, со знанием профессии. Приду ещё!
Большое спасибо

Читать полностью
Десятникова Л.В.
19.11.2025

Все хорошо. Спасибо!

Читать полностью
Стельмашенко Ю.
19.11.2025

Отличный специалист. Всем рекомендую. Огромное спасибо, ушёл с голливудской улыбкой!

Читать полностью
Некрасов Александр Васильевич
19.11.2025

Настоящий рыцарь от медицины. Я уже не просто рекомендую вашу клинику, но и привёл 4-х клиентов. Они тоже остались довольны работой ваших врачей. Спасибо.

Читать полностью
Лазебинкова А.Е.
19.11.2025

Огромное спасибо хочется сказать в очередной раз Казарову Р.Р., очень повезло, что мы нашли такого талантливого врача! Всех благ и крепкого здоровья!

Читать полностью
Робак Оксана Венедиктовна
19.11.2025

Приём врачом всегда ведётся быстро, четко, уверенно и профессионально. Чувствуется опыт. Врач не просто приветлив и доброжелателен, но старается решить проблемы пациента оптимальным образом.

Читать полностью
Алныкина Елена Александровна
19.11.2025

Профессионалу, лучшему специалисту, отзывчивому доктору и просто замечательному человеку - здоровья, успехов, удачи в любимой работе и огромная благодарность. С глубочайшим поклоном

Читать полностью
Бурмин И.Г.
19.11.2025

Лечение, как всегда потрясающее. Внимание персонала на высоте. Отличная клиника

Читать полностью
Некрасов В.А.
19.11.2025

Профессионал своего дела. Клиника супер. Советую!

Читать полностью
Лазебшекова Ольга Евгеньевна
19.11.2025

Хочу выразить огромную благодарность Казарову Р.Р. врач от Бога!!! Профессионал с большой буквы. Браво!!!

Читать полностью
Быкова
19.11.2025

Спасибо огромное! Оперативно и ни капельки не больно!

Читать полностью
Бурмин Илья Георгиевич
19.11.2025

Отличная клиника. Культура обслуживания на высшем уровне. Внимательный персонал, врачи, «золотые руки»

Читать полностью
Шарова Е.В.
19.11.2025

Врач от Бога. Спасибо большое!

Читать полностью
Галичев Р.Ф.
19.11.2025

Все четко и по делу

Читать полностью
Хасхунова А.В.
19.11.2025

Я осталась очень довольна. Спасибо огромное замечательному доктору Казарову Р.Р. за его профессионализм, внимательность. Дай Бог ему большого здоровья, и его семье. И пусть его жизнь будет похожа на ромашку: светлая, с солнышком внутри

Читать полностью
Смирнов Е.Н.
19.11.2025

Давно пользуюсь услугами, доволен.

Читать полностью
Савельева Э. А.
19.11.2025

Очень качественное обслуживание. Вежливый персонал.

Читать полностью
Тверскова Юлия Сергеевна
19.11.2025

Валерия Николаевна профессионал своего дела и очень приятный человек. Спокойная, культурная, все рассказала, объяснила план лечения.
Буду рекомендовать этого врача всем знакомым.

Читать полностью
Гонобобова Диана Сергеевна
19.11.2025

Отличный врач, профессионал своего дела, работу выполняет бережно и трудолюбиво. Спасибо!

Читать полностью
Филипова Светлана
19.11.2025

Все сделано качественно, и безболезненно, спасибо большое доктору Ганевич.

Читать полностью
Михно О.Ю.
19.11.2025

Всегда окажут квалифицированную помощь.

Читать полностью
Демина Л.С.
19.11.2025

Замечательный специалист! Спасибо огромное!

Читать полностью
Лобова Анастасия Константиновна
19.11.2025

Валерия Николаевна прекрасный доктор! Всегда визиты к ней легкие, лечение комфортное и безболезненное. Валерия Николаевна внимательно слушает пациента и предлагает все возможные варианты лечения. Рекомендую!

Читать полностью
Белоусов И.С.
19.11.2025

Всё отлично. Спасибо!

Читать полностью
Капустина Ю.В.
19.11.2025

Все очень понравилось. Врач профессионал своего дела. Все делает аккуратно и отлично. Прихожу не первый раз.

Читать полностью
Астапенкова Г.В.
19.11.2025

Огромное спасибо доктору Валерии Николаевне, очень внимательно, тщательно провела осмотр и лечение. Я довольна, буду рекомендовать своим знакомым.

Читать полностью
Воеводин Ю.А.
19.11.2025

Спасибо доктору за хорошую работу!

Читать полностью
Масагутова Мария Андреевна
19.11.2025

Все прошло отлично, очень внимательный доктор и персонал

Читать полностью
Браславская А.А.
19.11.2025

Очень внимательная, доброжелательная, аккуратная, тщательно и с душой выполняет свою работу. Врач по призванию.

Читать полностью
Волкова М.С.
19.11.2025

Замечательная клиника, вежливый персонал, красивый ремонт и уютный. Спасибо вам за лечение, еще вернусь и буду рекомендовать знакомым!

Читать полностью
Любавина Татьяна Николаевна
19.11.2025

Огромное спасибо Валерии Николаевне за внимательное отношение, профессионализм. Доктор с большой буквы.

Читать полностью
Фетищева Зоя Ивановна
19.11.2025

Валерия Николаевна и медсестра Оксана Кивойцева - это прекрасные работники, вежливые, трудолюбивые и понимающие состояние клиента. Спасибо большое!

Читать полностью
Бунакова Ольга Леонидовна
19.11.2025

Все понравилось

Читать полностью
Ермолина Елизавета Петровна
19.11.2025

Давно у вас, очень благодарна вам, спасибо за все. Девочки очень приветливые. А Валерия Н. умница, смелая, радостная.

Читать полностью
Кутлубердин Д.А.
19.11.2025

Все было профессионально, получил советы, всем доволен, спасибо!

Читать полностью
Бодякина М.А.
19.11.2025

Внимательны, все пожелания и проблемы учтены, работой довольна

Читать полностью
Исаков Михаил Георгиевич
19.11.2025

Все понравилось. Спасибо!!!

Читать полностью
Кухтенкова Олеся
19.11.2025

Доктор очень вежлив, внимателен. Все объяснила рассказала. Мне очень понравилось

Читать полностью
Салихов И.Ю.
19.11.2025

Все было супер. Персонал у Вас просто супер. Хочу сказать спасибо администраторам, врачу и ассистенту. Все просто супер!!

Читать полностью
Ермолина Елизавета Петровна
19.11.2025

Валерия Николаевна очень отличный. Умелая, смелая, добрая, знает свою работу отлично. От всей души кланяюсь ей и говорю: большое спасибо!!! Желаю ей здоровья, успехов.

Читать полностью
Аверина Н.Л.
19.11.2025

Большое спасибо! Все очень понравилось! Придем ещё!

Читать полностью
Ковешникова Е.А.
19.11.2025

Все очень нравится. Спасибо всем!

Читать полностью
Горностаева Татьяна Николаевна
19.11.2025

Посещаю клинику уже не в первый раз, отмечу большой профессионализм врача, приятная атмосфера, буду рекомендовать знакомым.

Читать полностью
Сорока Дмитрий Владимирович
19.11.2025

Все понравилось: от входа в клинику до самой услуги. Спасибо Валерии Николаевне за профессионализм и внимательное отношение.

Читать полностью
Романова Инна Николаевна
19.11.2025

Благодарю доктора за высокий профессионализм и спасение зуба от удаления.

Читать полностью
Овсиюк И.М.
19.11.2025

Огромное спасибо врачу. Профессионал с большой буквы.

Читать полностью
Урсаки Т.В.
19.11.2025

Удобно запись день в день, отличные специалисты и вежливый персонал!!!

Читать полностью
Ходкевич Елена Викторовна
19.11.2025

Спасибо огромное всему персоналу, и конечно же Александру Сергеевичу все отлично с плюсом.

Читать полностью
Кручева Лилия Хусановна
19.11.2025

Была рада быть вашим пациентом. Очень благодарна. Спасибо.

Читать полностью
Малышева А.
19.11.2025

Благодарю за высококвалифицированный подход

Читать полностью
Домушина Т.А.
19.11.2025

Всем спасибо большое за внимание, профессионализм и оперативность.

Читать полностью
Акимова Т.А.
19.11.2025

Отличная работа! Спасибо Александру Сергеевичу за профессионализм!

Читать полностью
Калабин В.П.
19.11.2025

Вашуркин А.С. - молодец. Сам специалист и воспитывает себе достойную замену.

Читать полностью
Ходкевич Елена Викторовна
19.11.2025

Спасибо всем огромное, все просто отлично.

Читать полностью
Медина О.И.
19.11.2025

Спасибо огромное всему персоналу за внимание, постоянную заботу и отличную работу. Буду и дальше пользоваться вашими услугами

Читать полностью
Свечкарева Т.А.
19.11.2025

Обратилась второй раз. Довольна качеством, культурой обслуживания. Ценю профессионализм доктора. Спасибо!

Читать полностью
Ивлева Т.В.
19.11.2025
Горлов Андрей Сергеевич
19.11.2025

Отличная клиника

Читать полностью
Безякина Н.А.
19.11.2025

Спасибо всем врачам и медицинским работникам за отличную работу.

Читать полностью
Закутская Т.А.
19.11.2025

Очень довольна. Буду рекомендовать, что и делаю в данное время.посещаю неоднократно. Огромное спасибо. Я диабетик 2 типа. Большое спасибо.

Читать полностью
Андреевец Наталья Борисовна
19.11.2025

Благодарю за высокое качество, профессионализм и внимательное отношение!!!

Читать полностью
Бушмакин Г.М.
19.11.2025

Большое спасибо!!!

Читать полностью
Максимова Ю.Р.
19.11.2025

Спасибо за качество услуг!

Читать полностью
Спиркин А.Н.
19.11.2025

Все отлично, очень доволен, огромная благодарность вашей клинике, молодцы!!!

Читать полностью
Грачёва Ольга Дмитриевна
19.11.2025

На начальном этапе своего лечения я довольна клиникой. Выражаю благодарность всему коллективу за своевременно оказанные услуги, внимание и заботу.

Читать полностью
Точилов А.А.
19.11.2025

Александр Сергеевич лучший врач!

Читать полностью
Сулейманов Д.Н.
19.11.2025

Доктор профессионал. Работа была выполнена на 5+ и в срок. Спасибо всему коллективу и в особенности Вашуркину А.С.

Читать полностью
Никульшина Л.А.
19.11.2025

Благодарю за очень профессиональную работу доктора ,грамотный подход к работе и качество работы.Спасибо за Ваш труд.

Читать полностью
Анастасия М.
19.11.2025

Впервые посетила клинику Dental way, осталась под очень положительным впечатлением.
Была на лечении у доктора Чекункова Олега Владимировича, очень понравился, добрый и отзывчивый человек, все мне рассказал, объяснил, сформулировал план лечения! Грамотный и квалифицированный врач!
Приятный сервис! Весь персонал очень добродушно и заботливо отнесся ко мне! Буду возвращаться снова!
(Отзыв оставлен на Яндекс.Карты)

Читать полностью
Инга Т.
19.11.2025

Мейлис Максатович — прекрасный специалист, который занимался моим лечением зимой-весной 2024 г.
В сентябре была на гигиене. «Наждачку» для межзубных пространств я испытала впервые - очень необычный подход, мне понравилось.
Одним словом, что гигиенические, что лечебные процедуры для меня были очень комфортны. Приду еще не раз!
(Отзыв оставлен на Яндекс.Карты)

Читать полностью
Пациент
19.11.2025

Геворгян Акоп замечательный специалист, который проявляет вежливость, корректность и внимательное отношение к пациентам. После визитов в другие стоматологии я понял, как важно, когда врач подробно объясняет, какие шаги необходимо предпринять для достижения наилучшего результата. Я рад, что есть такие профессионалы, как он, и желаю ему крепкого здоровья и ещё больше пациентов, которые оценят его работу!
(Отзыв оставлен на Яндекс.Карты)

Читать полностью
Пациент
19.11.2025

Добрый день! Спасибо врачу Трухановой Ольге Евгеньевне. Недавно лечила зубы у неё и удаляла! Лечит как и удаляет совершенно без боли. После того как прошла анестезия, тоже все было в порядке. Сейчас буду ходить к вам постоянно. Всем рекомендую данного стоматолога! Вывод таков: работают тут на результат и качество
(Отзыв оставлен на ДокТу)

Читать полностью
Пациент
19.11.2025

Хочу поблагодарить весь коллектив клиники. Все очень вежливые  и доброжелательные. Со всеми возникающими проблемами обращаюсь только сюда! Всегда вылечат! Спасибо Казарову Р.Р. и Трухановой О.Е. за профессионализм и понимание! Рекомендую всем!!
(Отзыв оставлен на ДокТу)

Читать полностью
Пациент
19.11.2025

Хочу поблагодарить весь коллектив клиники. Все очень вежливые  и доброжелательные. Со всеми возникающими проблемами обращаюсь только сюда! Всегда вылечат! Спасибо Казарову Р.Р. и Трухановой О.Е. за профессионализм и понимание! Рекомендую всем!!
(Отзыв оставлен на ДокТу)

Читать полностью
Пациент
19.11.2025

Хочу поделиться своим опытом обращения к стоматологу-ортопеду Елизавете Валерьевне Паршутиной. Она оказалась очень внимательным и профессиональным специалистом. Я осталась полностью довольна проделанной работой. Большое спасибо ей за все!
(Отзыв оставлен на ДокТу)

Читать полностью
Геннадий Бриллиант
19.11.2025

Очень хорошая клиника, мне особенно понравилось, это подход врачей. Казаров Роланд Рафаэлович классный врач от бога! к сожалению он сейчас не работает ушёл. Говорят приезжает иногда. Вот к нему попасть на приём это круто.
(Отзыв оставлен на Google Карты)

Читать полностью
Лена В.
19.11.2025

Замечательная клиника! Лечимся всей семьей уже не первый год! Радует подход к детям, лечатся без истерик и проблем, спасибо докторам!
Сервис всегда на высоте!
Прошла ортодонтическое лечение, перед этим все пролечили, уже установили коронки и виниры)
(Отзыв оставлен на Яндекс.Карты)

Читать полностью
Анатолий Ч.
19.11.2025

+ расположение
+ специалисты
+ отношение
Ортопед Толибов - прекрасный специалист, а видел я их в свои 67 лет немало в разных клиниках Москвы и Калужской области.
(Отзыв оставлен на Яндекс.Карты)

Читать полностью
Андрей Гряколов
19.11.2025

Я очень доволен внимательной профессиональной работой стоматолога Ольги Евгеньевны.
(Отзыв оставлен на Яндекс.Карты)

Читать полностью
Инкогнито 4138
19.11.2025

Доброжелательные и толковые сотрудники. Приём по записи. Предлагают кофе. Есть необходимое оборудование. Все виды лечения и протезирования. Удобно. Рекомендую.
(Отзыв оставлен на Яндекс.Карты)

Читать полностью
Роман А.
19.11.2025

Вообще классно ,все кругом клиники рядом были заняты , обратился к ним и не пожалел... Поставил мост 4 года назад. Ощущал постоянную боль что давит на десна. Мост стал слетать, обратился ... К ним ... С вечера не ощутил, а утром проснулся и чувствую абсолютно жёсткая конструкция, вообщем я не пожалел ! твердая пятерка с плюсом ... врач был Головаченко возможно какие то буквы перепутал , плюс минус
(Отзыв оставлен на Яндекс.Карты)

Читать полностью
Alena Georgobiani
19.11.2025

Лечусь у докторов Кискина и Хлебникова - прекрасные специалисты! Сама клиника очень современная, с хорошим оборудованием и материалами.
(Отзыв оставлен на Яндекс.Карты)

Читать полностью
пациент +7 915 30XXXXX
19.11.2025

На протяжении нескольких лет лечу зубы у Ольги Евгеньевны - устанавливал коронки, имплантанты, виниры. Перед посещением этой клиники обращался не в одну стоматологию, но только этот врач после осмотра и КТ смог ответить на все мои вопросы, составить план лечения и сделать расчет стоимости работ. Все прошло отлично, профессионально и комфортно, несмотря на свой страх стоматологов с детства. Особенная благодарность координатору Любови, которая всегда на связи онлайн, внимательна и заботливо интересуется, как себя чувствуешь после операции.
(Отзыв оставлен на ПРОДОКТОРОВ)

Читать полностью
Пациент +7 965 57XXXXX
19.11.2025

Я обратилась по поводу скола пломбы на переднем зубе. И сколом был затронут и соседний зуб. У меня стоят пломбы более 3-х лет. Врач Симонова София Васильевна провела лечение двух зубов за один приём практически за 1,5 часа! Оба зуба были отреставрированы. И теперь зона улыбки максимально в хорошем состоянии. Также было предложено альтернативное лечение в виде установки виниров. Спасибо за профессиональный подход и высокое качество обслуживания!
(Отзыв оставлен на ПРОДОКТОРОВ)

Читать полностью
Лилия Долганюк
19.11.2025

Очень добросовестно и внимательно относятся к своей работе, все очень и очень понравилось, спасибо большое хирургу Хлебникову и Софие Александровне и еще хочу благодарить администратора Алину и ассисистента Наджафу, спасибо вам большое.
(Отзыв оставлен на Яндекс.Карты)

Читать полностью
rom....@....ru
19.11.2025

Коллектив настоящих профессионалов, рада, что лечу зубы именно здесь. Отдельное спасибо Трухановой Ольге Евгеньевне, легкая рука и великолепный результат!
(Отзыв оставлен на НаПоправку)

Читать полностью
Ольга Донцова
19.11.2025

Я пришла в эту клинику впервые, в конце марта.Сломался мост.
Отмечу доброжелательность и внимание персонала.
Врач Федор Владимирович и его помощник произвели осмотр и обследование полости рта.Рекомендовали имплантацию.Решилась.Было очень страшно.Но доктор провел всю оперцию безболезненно,нашел добрые слова ,чтобы я успокоилась.
Сама клиника расположена очень удобно.Атмосфера распологающая.
Все на должном уровне.
Буду рекомендовать ее своим родным и знакомым .
Была повторно в этой клинике .От всей души хочу поблагодарить доктора Силкина И.Ф. и его медсестру!
Такого внимания, доброжелательности и теплоты я не встречала .Оказывается приятно и совсем не страшно посещать хирурга-стоматолога.
Спасибо вам за ваш нелегкий труд!Всего вам доброго и светлого!!!
(Отзыв оставлен на Яндекс.карты)

Читать полностью
Пациент
19.11.2025

Хочу сказать спасибо клинике "Dental way". Врачам, которые там работают. Приходила на пломбирование, отбеливания, протезирование. Такого внимательного и хорошего отношения и профессионализма я нигде не получала. Сохранили зубы, которые в других клиниках мне хотели удалить. Большое спасибо вам за то, что вы есть! Всегда всем своим знакомым рекомендую вашу клинику, так как она лучшая!
(Отзыв оставлен на ПРОДОКТОРОВ)

Читать полностью
Пациент
19.11.2025

Замечательный врач, профессионал и мастер своего дела!Обстоятельно составила план лечения, который мы успешно выполнили! Каждый приём проходил в доброжелательной обстановке, а процесс лечения безболезненно! Есть с чем сравнивать, эта доктор действительно творит чудеса!Спасибо за умелые руки и чуткое сердце! С огромным уважением к Наталии Геннадьевне и ко всему персоналу клиники! Спасибо!
(Отзыв оставлен на ДокТу)

Читать полностью
Светлана
19.11.2025

Я всем довольна. Доктор уделил мне время, направил на анализ, после которого вернусь к нему. Артем Аркадьевич подробно рассказал мне о проблеме, мне стало понятно, что нужно продолжать лечение.
(Отзыв оставлен на СберЗдоровье)

Читать полностью
Пациент
19.11.2025

Геворгян Акоп подробно объяснил все этапы лечения и ответил на все мои вопросы. После процедуры я получил четкие рекомендации по уходу. Доктор проявил внимательное отношение ко мне, и я чувствую, что он действительно профессионал своего дела. Я планирую продолжать посещения этого специалиста и, если понадобится, с удовольствием порекомендую его своим друзьям.
(Отзыв оставлен на ДокТу)

Читать полностью
Пациент +7 996 51XXXXX
19.11.2025

За всю жизнь посетила очень много бесплатных и платных клиник. Попадалось много недобросовестных врачей, в результате чего меня лишили 11 зубов и кучи денег. Решила найти хорошего врача по отзывам и через него клинику, в которой он работает. И ходить туда. Такой опыт у меня уже был и очень удачный. Но вскоре пришлось переехать. В общем, нашла врача и эту клинику. Записалась на консультацию, так как очень болела десна. Прижало уже. Когда пришла в стоматологию​ "Dental way", очень удивило (реально удивило) дружелюбие администраторов, просторность самой клиники, приятные свет и цвет помещений, очень удобная зона отдыха. Впоследствии узнала, что клиника работает на новейшем оборудовании, использует самые новые методы диагностики и лечения, а каждый врач там очень опытный и проходит тщательную проверку перед устройством на работу. Никто не пытается обмануть, что важно. Запись удобно можно оформить, отменить, перенести через телеграмм или Whatsapp. Плюс есть свой собственный куратор, который в любое время ответит на все вопросы. А врач, к которой я попала, сразу расположила к себе, всё объяснила. Составила план лечения и всякое такое. Что касается цен: я слышала, что кто-то говорил, что тут дорого, но это не так. Я бывала в десятках клиник и скажу так: есть клиники дороже, но качество обслуживания и лечения там отвратительное. Вытянут деньги и оставят без зубов. Так что в стоматологию "Dental way" я буду ходить постоянно и буду восстанавливать зубы именно здесь. Никто ничего не навязывает. Врачи беспокоятся именно о самом пациенте. Ну и как приятный плюс - бонусная программа. На стойке администрации выдают все чеки с подробным описанием, сколько и за что вы заплатили. А это тоже, к слову, не везде. Даже зубные щётки одноразовые есть для тех, у кого не было возможности почистить зубы перед посещением врача. В общем, 10 звёзд из 5.
Понравилось: отношение врачей и персонала, цены, оборудование, удобное расположение клиники недалеко от станции, просторность помещений
(Отзыв оставлен на ПРОДОКТОРОВ)

Читать полностью
Elena Galimova
19.11.2025

Большое спасибо Силкину Игорю Федоровичу!
Обратилась к нему с экстренным случаем как к дежурному врачу.
Внимательный, знающий и очень неравнодушный доктор проявил ко мне максимум заботы и свой профессионализм. Удачи и успехов Игорю Федоровичу.
Также хочу выразить признательность за профессионализм докторам, у которых ранее проходила лечение и имплантацию - это Ольга Евгеньевна Труханова и Дарья Викторовна Бирюкова. Спасибо и дальнейших успехов и развития клинике и её докторам.
(Отзыв оставлен на Google Карты)

Читать полностью
Гюзаль Кублицкая
19.11.2025

Посетила клинику и хочу выразить отдельную благодарность за профессионализм доктору Цой А.А. Очень грамотный, дипломатичный, отзывчивый врач. Желаю Клинике подбирать врачей именно таких профессионалов и еще отдельная благодарность Евгении Ярославовне, извините не запомнила фамилию и администратору Елене. Процветания клинике и с наступающим новым 2025 годом! В будущем планирую лечение Зубов именно у вас.
(Отзыв оставлен на Яндекс.Карты)

Читать полностью
Анатолий Ч.
19.11.2025

+ расположение
+ специалисты
+ отношение
Ортопед Толибов - прекрасный специалист, а видел я их в свои 67 лет немало в разных клиниках Москвы и Калужской области. Находит выход из самых сложных ситуаций.
Днём всегда найдётся место для бесплатной парковки
(Отзыв оставлен на Яндекс.Карты)

Читать полностью
Пациент
19.11.2025

Макаров подробно объяснил все этапы лечения, и я чувствовал себя комфортно на протяжении всей процедуры. Врач быстро справился с проблемой, а цены оказались вполне разумными. Я также обратил внимание на современные инструменты, которые использовались в работе. Персонал клиники проявил высокий профессионализм и вежливость, что добавило комфорта в общении. В целом, я остался доволен визитом и результатом.
(Отзыв оставлен на ДокТу)

Читать полностью
Анатолий Ч.
19.11.2025

+ расположение
+ специалисты
+ отношение
- дорого
Ортопед Толибов - прекрасный специалист, а видел я их в свои 67 лет немало в разных клиниках Москвы и Калужской области. Находит выход из самых сложных ситуаций. Мне исправили брак, допущенный в предыдущей клинике.
Днём всегда найдётся место для бесплатной парковки
(Отзыв оставлен на Яндекс.Карты)

Читать полностью
Пациент +7 964 01XXXXX
19.11.2025

Была сегодня на приеме в клинике «Dental Way», у доктора Чекункова Олега Владимировича. Не нравится пломба на переднем зубе. Доктор проконсультировал и сказал, что надо делать два зуба для симметрии. Составил план лечения, рассказал как всё будет проходить, все этапы по стоимости сразу сориентировали. И начали лечение. Зубы пролечили все идеально, даже не заметно, что сделали коррекцию. Я очень довольна, что попала именно к нему, могу смело рекомендовать клинику и доктора.
ПонравилосьЕ очень понравилась координатор Лена, все расскажет, очень внимательная, добрая, ответит на все вопросы. Видно знает свою работу.
(Отзыв оставлен на ПРОДОКТОРОВ)

Читать полностью
Юлия Дроздецкая
19.11.2025

Была на консультации в клинике у доктора Ильядис Алины Гелаевны, грамотно и подробно составила и объяснила план лечения. Планирую продолжить лечение у неё. Спасибо!
(Отзыв оставлен на Google.Карты)

Читать полностью
Пациент
19.11.2025

На приеме у стоматолога-ортопеда Семена Геннадьевича мне очень понравилось. Он подробно все объяснил и ответил на все мои вопросы. Мне предложили несколько вариантов решения моей проблемы, которые различались по времени и стоимости. Я решила довериться его мнению и не пожалела. Лечение прошло успешно, я следую всем рекомендациям, и теперь чувствую себя здоровым человеком!
(Отзыв оставлен на ДокТу)

Читать полностью
Пациент +7 922 86XXXXX
19.11.2025

Была на приеме у Чекункова О. В., до этого делала виниры у другого доктора. К Чекункову О. В. обратилась для переделывания, так как другой доктор не попал в цвет. Врач очень деликатно, подробно показал на макете и объяснил, как всё будет. Заранее вместе с доктором выбрали цвет, посмотрела под разным светом оттенок. Работой осталась довольна, с цветом угадали, попадание 100 из 100. В клинике приятная атмосфера, современно всё. Близко к дому, в районе единственная клиника с таким уровнем. :)
Понравилось: атмосфера, профессионализм.
(Отзыв оставлен на ПРОДОКТОРОВ)

Читать полностью
Пациент +7 965 15XXXXX
19.11.2025

Хочу выразить огромную благодарность доктору - стоматологу-ортопеду, Толибу Бахтиеровичу. С доктором мы проходили в течение полугода две непростые процедуры: установка виниров и имплантация. Работа была выполнена просто безупречно - каждый зубик выглядит естественно и красиво. Процедура установки импотентов прошла абсолютно безболезненно и комфортно. Спустя полгода могу сказать, что импланты отлично прижились. Результат превзошел все мои ожидания - новые зубы выглядят естественно и идеально подходят под мой прикус. Теперь я могу улыбаться без стеснения Отдельное спасибо за доброжелательную атмосферу в клинике и высокий уровень сервиса. Рекомендую этого специалиста всем, кто ищет качественного ортопеда!
(Отзыв оставлен на ПРОДОКТОРОВ)

Читать полностью
Пациент
19.11.2025

Цой действительно уникальный, он как рентген – всё видит и не оставляет шансов скрыть проблемы. Его подход отличается от остальных специалистов: он не просто делает свою работу, а действительно помогает. Если он обещает решить вашу проблему с зубами, то можете быть уверены, что это действительно так. Терпите его, потому что результаты его работы впечатляют и зубы потом выглядят отлично!
(Отзыв оставлен на ДокТу)

Читать полностью
Рушана Якупова
19.11.2025

Клиника впечатляет от клиентоориентированности. Всё продумано для комфорта посетителей начиная от входа. Чувствуется, что сотрудники заинтересованы и дорожат своей работой! Удивительно бережное отношение к пациентам! Все сотрудники доброжелательны, внимательны и терпеливы, начиная от администраторов. Это так ценно! Большое спасибо руководителям, которые смогли организовать и подобрать сотрудников для удивительно слаженной работы! Оснащение клиники и  профессионализм сотрудников на очень высоком уровне! Я пенсионерка и цены для меня высоковаты,но здесь работает бонусная программа. Побывав на приёме у профессионалов и любящих свою работу докторов Аббасова А.И., Трухановой О.Е.,решила, что буду лечиться только здесь! Мне 62 года, опыт посещения различных стоматологических клиник большой. Эта - лучшая во всех отношениях! Рекомендую всем, кто заботиться о своём здоровье и своих близких!  К сожалению, не могу добавить фото, так как нет привычки всё фотографировать.
(Отзыв оставлен на Google.Карты)

Читать полностью
Пациент +7 926 15XXXXX
19.11.2025

Я являюсь пациентом клиники "Dental Way" в г. Мытищи, одной из лучших клиник Москвы и Московской области. Очень вежливый и внимательный медперсонал, врачи профессионалы своего дела, которым смело можно доверять. Отдельная благодарность врачу-ортопеду Шапиеву С. А. и врачу-имлантологу Силкину И. Ф. Всем рекомендую! В дальнейшем всегда буду посещать этот стоматологический центр!
Понравилось: здесь работают лучшие стоматологи, профессионалы своего дела.
(Отзыв оставлен на ПРОДОКТОРОВ)

Читать полностью
Пациент
19.11.2025

Семен Геннадьевич Головченко установил мне металлический мостик, и я остался очень доволен результатом. Всё выполнено качественно и аккуратно, сроки работ и стоимость оказались вполне разумными. Очень благодарен за внимательное отношение! Смело могу рекомендовать этого специалиста.
(Отзыв оставлен на ДокТу)

Читать полностью
Пациент +7 903 56XXXXX
19.11.2025

Была на приеме у хирурга Муравьева М. А. и Паршутиной Е. В. Оба доктора - мастера своего дела! В целом очень комфортная обстановка, поэтому продолжу свое лечение именно в этой клинике.
Понравилось: отношение и профессионализм врачей.
(Отзыв оставлен на ПРОДОКТОРОВ)

Читать полностью

Специалисты по винирам E-max

Получить консультацию

Важное о винирах E-max

Для чего нужны виниры?
Виниры используются для коррекции различных стоматологических недостатков, таких как:
- неровные или кривые зубы;
- зубы с трещинами или сколами;
- изменение цвета зубов, которое невозможно исправить отбеливанием;
- промежутки между зубами.
Как долго служат виниры?
Срок службы виниров может варьироваться в зависимости от материала, ухода за ними и привычек пациента. Обычно они служат от 5 до 15 лет.
Как ухаживать за винирами?
Уход за винирами включает:
- регулярную гигиену полости рта (чистка зубов, использование зубной нити);
- избегание жесткой пищи;
- посещение стоматолога для профилактических осмотров.
Можно ли установить виниры на все зубы?
Да, виниры могут быть установлены на все передние зубы для восстановления красоты улыбки и гармоничного внешнего вида. Однако решение должно быть основано на рекомендациях стоматолога.
Есть ли противопоказания для установки виниров?
Да, некоторые противопоказания могут включать: - серьезные стоматологические заболевания; - бруксизм (скрежетание зубами); - неправильный прикус.

Как проходит установка винира E-max на зуб: этапы

  • Этап 1. Диагностический На первом визите внимательный опытный стоматолог-ортопед Dental Way обсудит с вами ваши пожелания к будущей улыбке, ваш предыдущий стоматологический опыт, особенности вашего общего здоровья Врач проведет тщательный осмотр в кресле, сделает фотографии зубов в разных ракурсах. Обязательно сделает 3D КЛКТ (компьютерную томографию), которую проанализирует вместе с искусственным интеллектом Diagnocat. Только по результатам этого полноценного обследования мы составим правильный план лечения.
  • Этап 2. Подготовительный Если в ходе визуального осмотра доктор заметит воспаления дёсен, налет на зубах, зубной камень — мы обязательно направим вас на профессиональную гигиену. Если обнаружится кариес или другие проблемы, перед восстановлением зубов винирами мы обязательно пролечим вам зубы, чтобы избавить вас от инфекции в полости рта. После того, как все эти вопросы решены, вы готовы к реставрации зуба виниром E-max. Стоматолог очень аккуратно снимает не более 0,5 мм поверхностных тканей, чтобы придать ему нужную форму, на которую будет фиксироваться винир E-max. Из специального состава cделает слепок или проведет сканирование подготовленных зубов.
  • Этап 3. Ортопедический В специальной зуботехнической лаборатории по заданию ортопеда зубной техник изготавливает накладку на зуб — винир E-max. Вы приезжаете в клинику на финальное протезирование. Врач примеряет винир E-max и проверяет, чтобы он максимально подходил по эстетике и комфорту. Затем он крепится на зуб или имплант специальным составом. Поздравляем! Ваша улыбка совершенна!

Виниры E-max : стоимость

  • Коронка на основе диоксида циркония с нанесением керамики (Ivoclar) от 44600 ₽
  • Коронка на имплантат из диоксида циркония (Ivoclar) + Компоненты Osstem от 58100 ₽
  • Коронка на имплантат цельноциркониевая (метод Prettau) + Компоненты Osstem от 55400 ₽
  • Коронка на имплантат металлокерамическая (Ivoclar) Co-Cr + Компоненты Osstem от 49300 ₽
  • Акция винир керамический класса Люкс 39 900 ₽
  • Коронка по технологии E-max от 56 000 ₽
Все цены

Все наши услуги

Нужны виниры E-max? Запишитесь на приём!

Виниры E-max в Солнцево

Керамические виниры E.max - оптимальное сочетание цены, качества, прочности и эстетики. Виниры Е.макс изготавливаются из литийсиликатной керамики.
Благодаря особому способу создания керамических пластинок - обжиганию в печи под давлением - эти виниры не имеют пор в структуре.
Основная особенность виниров E.max заключается в их повышенной прочности. Они выдерживают сильные жевательные нагрузки и не требуют от пациента ограничений в питании и измений в образе жизни.
При этом керамика отличается высокой эстетикой. Перед восстановлением зуба виниром E.max в зуботехнической лаборатории изготавливается конструкция, учитывающая все пожелания пациента по форме, цвету и уровню прозрачности. Распознать эти виниры сможет только профессиональный стоматолог - они выглядят максимально естественно.
При планировании манипуляции форма будущего винира примеряется на улыбку пациента с помощью 3D моделирования. Этот шаг позволяет избежать коррекции и создать максимально точную конструкцию.
Установка виниров E.max не требует специальной подготовки. Предварительные процедуры включают в себя профессиональную гигиену полости рта и лечение кариеса при необходимости. После проводится препарирование зубов под виниры. Виниры E.max имеют толщину 0,3 мм, поэтому в некоторых случаях возможно обойтись без обтачивания зубов.
На время изготовления постоянного винира зуб покрывается временной конструкцией. Когда постоянный винир будет готов, его примеряют на приеме и фиксируют на зубе при отсутствии замечаний.
Стоимость преображения улыбки винирами E.max в Dental Way в Солнцево указана «под ключ».