Брекеты детям и подросткам

Брекеты детям и подросткам в Солнцево

Брекеты детям и подросткам в Солнцево
от 309 200 рублей
Брекеты для детей являются одним из самых популярных и эффективных методов ортодонтического лечения. Дети и подростки находятся в активной фазе роста, их зубочелюстная система еще очень подвижна, поэтому брекеты способны эффективно и быстро исправить неправильный прикус и выровнять зубы.
Наши детские ортодонты проведут вашему ребёнку лучшую диагностику и назначат правильное лечение, которое в короткие сроки исправит даже самые сложные ортодонтические проблемы. Начните стоматологическое лечение ребёнка в Dental Way, чтобы обеспечить ему красивую и здоровую улыбку на долгие годы вперёд!

  1. Составим подробный план лечения со сметой
  2. Рассрочка без переплат. Первый взнос - 0 рублей!

* цена указана за всё лечение, включая ретенционный период

Когда детям и подросткам нужны брекеты?

Среднестатистически брекеты детям назначаются в возрасте от 10 лет, когда заканчивается активный рост челюстей и начинается формирование постоянных зубов. Однако точный возраст варьируется в зависимости от индивидуальных особенностей ребёнка. Важно вовремя обратиться к детскому ортодонту для полной оценки ситуации и назначения эффективного лечения.

Основные показания для назначения брекетов:

  • Неправильный прикус: проблемы с неправильным смыканием зубов при закрывании челюсти. Наши ортодонты работают со всеми патологиями прикуса: дистальный, мезиальный, глубокий, открытый, перекрестный
  • Неровные зубы: кривизна и скученность зубов, либо слишком большие промежутки между зубами
  • Патологии и аномалии зубочелюстной системы: нарушения структур, которые могут повлиять на форму или функцию зубочелюстной системы
Ортодонты Dental Way помогут выявить проблемы на ранних стадиях, назначат лучшее лечение для вашего ребёнка и проконсультируют по всем интересующим вопросам.

Преимущества брекет-систем в детской ортодонтии

  • Коррекция прикуса: брекеты помогают исправить аномалии прикуса — это способствует правильному развитию челюстей и зубов
  • Эстетика: выравнивание зубов улучшает улыбку и общий внешний вид — повышает самооценку ребёнка.
  • Улучшение гигиены и профилактика: правильный прикус повышает эффективность гигиены зубов, помогая предотвратить развитие кариеса и других стоматологических проблем
  • Функциональность: исправленный прикус улучшает жевательную функцию, снижая вероятность развития пищеварительных проблем
  • Поддержка развития: установка брекетов в детском возрасте способствует корректировке зубного ряда до завершения роста зубочелюстной системы — это позволяет избежать более сложного лечения в будущем
В наших клиниках представлены все варианты современных брекет-систем для детей и подростков: металлические, керамические, комбинированные, лингвальные. Наши опытные ортодонты помогут подобрать самое оптимальное решение для вашего ребёнка в зависимости от степени и характера существующих проблем.

Преображение улыбки с помощью брекетов

☆☆☆☆☆
Валерия, 15 лет

Dental Way — забота о каждом зубе ♡
Больше полезной информации, практических советов, интересных фактов вы можете найти в нашей группе ВКонтакте.

Посмотрите, как преобразилась улыбка нашей юной пациентки Валерии всего за 1,5 года! Раньше девушка стеснялась своих зубов, но теперь с удовольствием улыбается, благодаря работе ортодонта Антоновой Кристины Игоревны (Dental Way Подольск).

Хотите так же?
Записывайтесь на консультацию к ортодонту в Dental Way прямо сейчас!

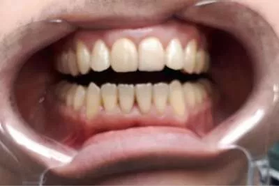
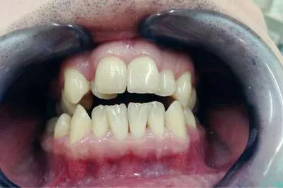
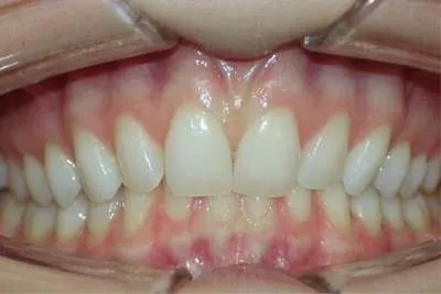
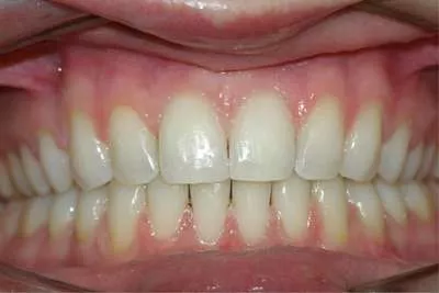
Результаты до/после

До
После
До
После
До
После

Брекеты детям и подросткам: отзывы пациентов

Туровская Анастасия Вадимовна
15.01.2026

Самая любимая моя врач Валерия Руслановна. Очень аккуратная, внимательная, - и мультики включит, и игрушки даст. Обожаю :)

Читать полностью
Груздева С.А.
15.01.2026

Спасибо большое за подход к детям!

Читать полностью
Фирстова Мария Евгеньевна
15.01.2026

Валерия Руслановна настоящий профессионал своего дела. Такого внимательного врача редко встречаешь. Валерия Руслановна уже стала нашим семейным «волшебником» зубных дел. Также выражаю благодарность всему персоналу клиники.

Читать полностью
Басенко Айсылу Абдулхаевна
15.01.2026

Очень хороший доктор. Вежливая, все очень хорошо объясняет. Нам все нравится. Спасибо огромное!!!

Читать полностью
Пигельцева Анастасия
15.01.2026

Самый лучший доктор. P.s. Пигельцева Злата.

Читать полностью
Акулаева София Сергеевна
15.01.2026

Самый лучший врач на свете! Очень внимательная. Профессионал в своем деле! 10 из 10.

Читать полностью
Захаров А.В.
15.01.2026

Большое спасибо за качественный подход и результат.

Читать полностью
Кузьменко А.В.
15.01.2026

Очень вежливый, внимательный врач.

Читать полностью
Пациент +7 916 11XXXXX
15.01.2026

С мая 2023 года проходили с ребенком лечение с брекет-системой, и уже в августе 2024 г. их сняли. Меньше, чем за 10 посещений ортодонта, мы смогли сделать зубки эстетически красивыми, выровнять прикус. На данный момент стоят пластины и ежедневное ночное ношение кап.
Понравился подход к ребенку, индивидуальное лечение, несмотря на сроки ношения, у нас получилось раньше запланированного снять брекеты​.
(Отзыв оставлен на ПРОДОКТОРОВ)

Читать полностью
Вика
15.01.2026

Хочу поделиться своим опытом лечения прикуса у ортодонта Анастасии Сергеевны Авраменко. Мы обратились в стоматологию «Дентал Вей» с дочкой, когда ей было 12 лет. У нас были серьезные проблемы с прикусом, и я очень переживала, как пройдет лечение. С первых минут общения с Анастасией Сергеевной я почувствовала, что мы в надежных руках. Она очень внимательная и профессиональная, всегда подробно объясняла все этапы лечения и отвечала на все наши вопросы. Дочка сразу же почувствовала себя комфортно, и это было для нас очень важно. Лечение длилось около года, и за это время мы заметили значительные улучшения. Анастасия Сергеевна использовала современные методы и подходы, что сделало процесс максимально эффективным и безболезненным. Мы регулярно приходили на контрольные осмотры, и каждый раз уходили с улыбкой, видя прогресс. Теперь у моей дочери идеальный прикус, и она с гордостью показывает свою улыбку! Я очень благодарна Анастасии Сергеевне за её профессионализм и заботу. Рекомендую всем, кто ищет хорошего ортодонта, обратиться именно к ней!
(Отзыв оставлен на Мед-Отзыв.ру)

Читать полностью
Пациент
15.01.2026

Огромная благодарность клинике и врачам, которые там работают, проходили сначала курс от кариеса, всё понравилось. Потом решили нашим детям выровнять зубки, одному поставили брекеты, а второму несъёмную пластину, чтоб расширить зубы (один из передних зубов выпирал ближе к губам и был далеко от других зубов), которые росли неровно, врачи просто топовые, всё рассказывают и говорят, что и как надо делать. Также младший сломал уже коренной передний зуб, сразу поехали в клинику, и тут нам тоже помогли. В Подольске с таким очень вежливым персоналом просто не найти, по крайне мере для меня точно, соотношения цены и качества, цены дешевле, чем в других клиниках. Однозначно мы будем приходить туда, ведь там работают лучшие врачи. Хочу пожелать вашей клиники расти и развиваться ещё больше, она этого заслуживает так же, как и люди заслуживают получать хорошее лечение, как и хороших доброжелательных врачей!
(Отзыв оставлен на ПРОДОКТОРОВ)

Читать полностью
Светлана Нагина
15.01.2026

Лучшая клиника в которой мы были. Всегда чистенько, персонал вежливый. На приеме ответят на все вопросы. С детьми внимательны и заботливы.
Ребенок всегда с удовольствием идет на прием, нет никакого страха.
Нам очень понравилось на приеме у ортодонта, все доступно объяснили и разработали план лечения. Клинику однозначно рекомендую
(Отзыв оставлен на Яндекс.Карты)

Читать полностью
Пациент +7 916 58XXXXX
15.01.2026

Обратились к Дарье Олеговне с проблемой прикуса и желанием иметь красивую улыбку. Приём прошёл в благоприятной обстановке, сын остался доволен. Доктор указала все, что нужно сделать на данный момент, посоветовала специалистов. Спасибо большое, нам очень понравилось. Буду рекомендовать стоматологию на Маштакова, 3а.
(Отзыв оставлен на ПРОДОКТОРОВ)

Читать полностью
Ольга Петрова
15.01.2026

Спасибо, все понравилось! Кристина Игоревна осмотрела ребенка, всё объяснила в доступной форме, дала рекомендации. Мы довольны, придем еще!
(Отзыв оставлен на Яндекс.Карты)

Читать полностью
Вера Градобоева
15.01.2026

У дочери раскрошился молочный зуб, в поликлинику и вырвать наотрез отказалась , боялась. Долго искала клинику, чтобы были детские врачи и хорошие отзывы. Записалась на прием к Биктимировой. С первых минут клиника понравилась и мне и дочери. Врач и медсестра сразу наладили контакт с ребёнком. О состоянии зубов и плане лечения мне подробно все объяснили. Зуб удалили быстро и безболезненно, дочь ничего не заметила, смотрела в этот момент мультфильм. Были на чистке у Набиева Н., тоже прошло все хорошо, врач подробно объяснил дочери про важность ухода за зубами ( пока ухаживает без напоминаний)))). Еще ходили к ортодонту Киревичевой Д, также доступно объяснила состояние и дальнейшие наши действия в лечении. У меня очень хорошее впечатление о клинике, продолжаем лечение там.
(Отзыв оставлен на Яндекс.Карты)

Читать полностью
Пациент +7 977 78XXXXX
15.01.2026

Были в клинике с сыном. Был вопрос, касающийся ортондонтии. Были у Юферовой Екатерины.
Главные плюсы: Врач смог расположить к себе ребенка, мне рассказать все в деталях и рассказать, что делать дальше. Ни на чём не настаивала, лишь объясняла что к чему.
(Отзыв оставлен на ПРОДОКТОРОВ)

Читать полностью
Пациент +7 916 14XXXXX
15.01.2026

Ребёнку необходимо было выровнять зубы. Нам знакомые посоветовали обратиться к Оксане Владимировне. Ребёнок просто в восторге от неё. Слушается и выполняет все её требования и советы. Иногда даже пишем в Whatsapp с каким-нибудь вопросом неотложным. Рекомендации и помощь нам приходит сразу. Была ситуация, что летом надолго уехали в другой регион, и там пришлось обратиться срочно к ортодонту. После этого посещения сын сказал, что, кроме как к Оксане Владимировне, больше ни к кому не пойдёт. Ни за что. Лечение подходит к завершению. Брекеты скоро нам снимут. Зубы уже ровные, но доктор сказала, что доведём до идеала. Нам очень повезло, что попали к профессионалу и очень хорошему и отзывчивому человеку. Обращайтесь, не пожалеете!
Понравилось: профессионализм, доброжелательность, готовность помочь в любое время.
Не понравилось: недостатков просто нет. В нашем случае уж точно.
(Отзыв оставлен на ПРОДОКТОРОВ)

Читать полностью
Д.З.
15.01.2026

Отличный сервис , всегда приветливый персонал, грамотные специалисты ! Мы наши своего ортодонта , Конопленко Юлию и очень этому рады .
(Отзыв оставлен на Яндекс.Карты)

Читать полностью

Специалисты по брекетам детям и подросткам

Получить консультацию

Важное о брекетах детям и подросткам

Как брекеты исправляют прикус и выравнивают зубы?
Брекеты — это ортодонтическое устройство в виде своеобразных "замочков", в пазы которых устанавливается специальная дуга с эффектом памяти. Эта дуга оказывает давление на зубы, заставляя их смещаться. Именно с этого момента начинается процесс выравнивания зубов и исправления прикуса. Брекеты могут фиксироваться на внутренней или внешней поверхности детских зубов.
Как долго нужно носить брекеты детям?
Время ношения брекетов может варьироваться от 6 месяцев до 2-3 лет в зависимости от сложности случая и целей лечения. После проведения диагностики лечащий ортодонт составит подробный план лечения по этапам и даст точную оценку сроков лечения.
Болезненно ли устанавливать и носить брекеты?
Установка брекет-системы не вызывает боли, но после этого нужна короткая адаптация к ней — в первые дни и при регулировке может быть небольшой дискомфорт. Этот дискомфорт связан с тем, что зубы начинают двигаться в нужном направлении, и обычно проходит через несколько дней.
Как ухаживать за брекетами?
Важно тщательно чистить зубы после каждого приема пищи, использовать зубную нить и специальные ёршики для удаления остатков пищи вокруг брекетов. Также мы рекомендуем раз в 3 месяца приходить в Dental Way для профессиональной гигиены полости рта.

Брекеты детям и подросткам : стоимость

  • Брекет-система Pitt's Clear (безлигатурная, металл) на 2 челюсти. Стоимость всего лечения (срок 12-18 месяцев), установку и снятие, плановые приемы и ретенционный этап. 1 категория сложности 538890 ₽
  • Брекет-система Damon Clear (безлигатурная, металл) на 2 челюсти. Стоимость всего лечения (срок 12-18 месяцев), установку и снятие, плановые приемы и ретенционный этап. 1 категория сложности от 528275 ₽
Все цены

Все наши услуги

Нужны брекеты детям и подросткам? Запишитесь на приём!

Брекеты детям и подросткам в Солнцево

Брекеты - конструкция для исправления прикуса. Установить брекет-систему можно ребенку в возрасте от 9 лет, а в некоторых случаях ортодонты рекомендуют подождать еще 3 года. Для раннего выравнивания зубов у детей используются более щадящие конструкции - пластинки и капы.
Перед установкой брекетов проводится диагностика, профессиональная гигиена полости рта и снимается слепок челюсти. После создается уникальная индивидуальная конструкция, которая закрепляется на зубах. При каждом приеме врач немного меняет положение дуги, чтобы постепенно выровнять зубной ряд.