Терапевтическая стоматология
31.05.2024

Скол зуба: разновидности, лечение и профилактика

Поделиться

О чем речь? Скол зуба – распространенный дефект резцов. Причины возникновения разнообразны: от травм до недостатка минералов в рационе, причем зачастую их сразу несколько.

На что обратить внимание? Зуб со сколом выглядит неэстетично, может травмировать мягкие ткани, провоцировать довольно сильные болевые ощущения и в конечном итоге выпасть. Поэтому не стоит игнорировать эту проблему и при возникновении даже незначительной трещинки как можно скорее обратиться за помощью к специалисту.

Что такое скол зуба

Скол зуба – это механическое повреждение зубной единицы, вызывающее нарушение анатомического строения. Стоматологи различают много разновидностей диагноза, такие как «скол стенки зуба ниже десны», «скол зуба под десну». Но, по сути, это травма коронки зуба без его потери, смещения положения в зубном ряду и нарушения целостности связочного аппарата.

Специалисты еще выделяют отдельно сколы и переломы корня, эти травмы находятся ниже уровня десны в корневом отделе. Возможно возникновение сочетанной травмы при одномоментном повреждении коронки и вывиха зуба.

Причины возникновения скола зуба

Этиология скола коронки зуба отличается разнообразием. Перечислим самые часто встречающиеся причины:

  • Травмы – типичны для людей, профессионально занимающихся спортом.
  • Пагубная привычка грызть твердые предметы: в детском возрасте это ручки, карандаши, во взрослом – карамель, орехи, открывание крышек от бутылок.
  • Деминерализация – дефицит минералов, который является следствием нерационального питания, возрастных особенностей, эндокринной патологии.
  • Кариес – угрозу представляют межзубной и пришеечный вид, поскольку они незаметны, но ведут к разрушению зубов.
  • Эндодонтическая терапия – удаление пульпы ведет к истончению зубных стенок.
  • Патология прикуса провоцирует неравномерность жевательной нагрузки во время приема пищи. На некоторые зубы приходится чрезмерное давление, и в итоге это может привести к повреждению зубной эмали.
  • Дефекты ортопедического лечения – коронка может сломаться при прикреплении ее на ослабленную зубную ткань.
  • Резкий температурный перепад – поочередный прием холодной и горячей еды вызывает появление микротрещин, невидимых обычному глазу.
  • Бруксизм – непроизвольное ночное скрежетание зубами.
  • Ненадлежащий уход за зубами – скапливается налет, впоследствии переходящий в зубной камень, что снижает защитные свойства эмали.

Также возникновение сколов эмали зуба могут спровоцировать другие факторы. Хронические системные болезни, а также привычка курить приводят к изменению химического состава слюнной жидкости и кислотно-щелочного равновесия ротовой полости. Изменения негативно сказываются на состоянии эмали, ее структуре, делая ее более восприимчивой к повреждениям.

Разновидности скола зуба

Сколы зуба многообразны: возможно откалывание небольшого кусочка или огромного, с кровотечением и т. д. Для выработки тактики лечения необходимо провести оценку дефекта, определить его классификационную категорию.

Скол эмали или микротрещина

Диагноз ставится при откалывании маленькой частицы зуба. Травма почти не видна, безболезненна. Пациент жалуется лишь на повышенную чувствительность: появляется реакция на температурные раздражители, кислое, сладкое.

Скол с отломом дентина

Стоматологи относят этот вид к травме средней степени тяжести. Пациент предъявляет жалобы на дискомфортные явления при действии раздражителей: горячая или холодная еда, кислые или сладкие продукты. Дентин – это внутреннее содержимое зубной камеры, менее прочное, чем эмаль.

Если не приступить к лечению, может погибнуть он, а следом и сам зуб. К тому же даже самый незначительный косметический дефект передних зубов способен вызвать психологические проблемы и комплексы. При этом сколы передних зубов – наиболее часто возникающая травма среди всех видов этого дефекта.

Тяжелый скол зуба с повреждением нерва

Вертикальная трещина при этом виде скола от верхнего края коронки спускается сквозь все ткани к корневой части. При этом обнажаются пульпарная ткань, сосудисто-нервный пучок, появляется острая боль. Зуб может расколоться на две половинки, вызывая значительные повреждения пульпы и дентина. Восстановить такой скол зуба очень сложно.

Помните! Не стоить пробовать самостоятельно что-то делать с травмированным зубом. Лучше всего прополоскать ротовую полость теплой водой и немедленно обратиться к стоматологу. Если травма тяжелая, затрагивает пульпу, сопровождается кровотечением, ее можно закрыть стерильным бинтом. Немного снять отек и болевые ощущения помогут холодный компресс и обезболивающие средства.

Лечение скола зуба

План лечебных мероприятий составляется с учетом этиологии скола коронки зуба, локализации, глубины, состояния твердой и пульпарной тканей. Главные методы лечения:

Шлифование, полирование, реминерализация

Данные методы эффективны при незначительных сколах эмалевого слоя. Врач сглаживает поверхность, после чего наносит защитное лаковое покрытие, в состав которого входят минералы для укрепления твердых тканей.

Композитная реставрация

Такой вид реставрации проводится при глубоких травмах зубной эмали, дентина, но если при этом пульпа не задета. Наращивание переднего зуба после скола специалист осуществляет путем обработки повреждения, извлечения осколков или ослабленных тканей и их реставрации композитом.

При этом стоматолог подбирает максимально схожий оттенок эмали. Зубная поверхность покрывают композитом слоями с определенными промежутками времени, давая материалу отвердеть, это делается для более точной реконструкции анатомической конфигурации коронки.

Винирование

Если передний зуб со сколом небольшой глубины без повреждения пульпы, восстановление производится с помощью виниров. Керамическая пластинка, предназначенная для придания зубу исходной формы, фиксируется на передней поверхности резца или клыка. Иногда необходим подготовительный этап для установки виниров: частичная препарация, при этом стоматолог удаляет верхний слой эмали, чтобы винир имел презентабельный и натуральный вид.

Установка искусственной коронки

Этот способ восстановления отлично зарекомендовал себя в случаях тяжелых повреждений пульпарной ткани. Протез устанавливается, если скол занимает не менее трети коронковой части, не достигает десневого края, а корни не повреждены. Врач в ходе операции извлекает все разрушенные ткани, формирует основу для установки коронки. Для усиления стоматолог может применять дополнительно вкладки.

При производстве коронок предварительно делаются рентгеновские снимки, слепки зубов больного, подбираются оттенок необходимого цвета и форма зуба, что способствует стимуляции процессов заживления и равномерному распределению жевательной нагрузки.

Имплантация и протезирование

Данный метод рекомендован при реставрации на коронках с глубокими, доходящими до корневой системы сколами зубов, если нет другого метода лечения. Зуб экстрагируется, на его место проводится имплантация искусственного корня.

По окончании процесса приживления врач устанавливает абатмент и искусственную коронку. Имплантация крайне важна для восстановления жизнедеятельности и функций зубочелюстной системы, предупреждения разрушения костной ткани, аномалий прикуса и потери других вполне здоровых зубов.

Последствия игнорирования скола зуба

Отношения к сколам у пациентов различаются. Кто-то совсем не обращает на дефект внимания, кто-то пренебрегает эстетичностью улыбки, а кто-то из страха перед кабинетом стоматолога откладывает визит и стойко переносит боль и дискомфорт. Но затягивание с обращением к специалисту грозит серьезными осложнениями:

  • Развитие кариозного поражения с распространением на дентин и образованием камер внутри зуба. Нелеченый кариес вызывает развитие пульпита и периодонтита. Все эти патологические процессы провоцируют болевой синдром, полное разрушение зуба и его потерю.
  • Формирование кист и гранулем.
  • Смещение зубного ряда, которое вызывается искривлением корней или сменой угла их наклона. Минимальные изменения, которые могут возникнуть, – это патологический прикус.

Основная масса перечисленных болезней требует долгой и сложной терапии, и легче вовремя обращаться к стоматологу за квалифицированной помощью, чем быть постоянным посетителем стоматологической клиники.

Профилактика возникновения сколов на зубах

Что делать для профилактики сколов на зубах и других последствий после травмы? Стоматологи рекомендуют выполнять следующие рекомендации:

  • Сбалансированное, рациональное питание, по показаниям – прием витаминных комплексов. Ограничение потребления вязких, твердых или жестких продуктов, быстроусвояемых углеводов, которые вызывают нарушение кислотно-щелочного баланса, стимулируют рост патогенной микрофлоры, повреждают эмаль.
  • Правильный гигиенический уход за ротовой полостью, чистка зубов дважды в сутки не менее 2-3 минут. Мягкость зубной щетки и вид зубной пасты выбираются по совету стоматолога.
  • Своевременная терапия заболеваний зубочелюстной системы (кариозное поражение, пародонтит и др.).
  • Профосмотр и профессиональная чистка зубов каждые 6 месяцев. При необходимости – реминерализующая терапия.
  • Контроль за состоянием эндокринной, иммунной и пищеварительной систем.
  • Коррекция прикуса для равномерного распределения давления на зубы.

При врожденной слабости эмали рекомендуется применение укрепляющих препаратов. Не забывайте, что зубы подарены вам один раз и забота об их здоровье лежит полностью на вас самих.

Часто задаваемые вопросы о сколе зуба

Необходимо ли лечение скола зуба у ребенка?

Обязательно. Лечение скола молочных зубов осуществляется по упрощенной схеме для их сохранения до срока выпадения. Назначаются антисептические гели, фторирование или временное пломбирование пластмассовым материалом для предупреждения последующего разрушения.

Как восстановить скол переднего искусственного зуба?

Если откололся кусочек коронки зуба из керамики, можно провести полирование, удаление с дальнейшим ремонтом или нарастить коронку с помощью специальных средств – силана, опакового состава и галогенной лампы.

Возможно ли повреждение стенки зубной единицы?

Да. У зуба с извлеченным нервом или выпавшей пломбой стенка зуба истончается, и высока вероятность повреждения зубной стенки.

Почему зуб чернеет после скола?

При повреждении нерва и кровотечения в пульпарную ткань твердые зубные ткани могут потемнеть. Сюда же попадают налет и частицы пищи, которые трудно удалить. Также скол зуба болит, боль имеет острый, пульсирующий характер.

Можно ли ходить с отколотым зубом?

Нет, даже самая мелкая фрактура доставляет массу неудобств, травмирует слизистую, язык или мягкие ткани. Более крупный скол, особенно жевательного зуба, вызывает появление боли и кровотечения.

Что будет, если проглотить кусочек зуба?

Проглоченный фрагмент не представляет опасности для органов ЖКТ. Острые грани сглаживаются при действии желудочного сока. Максимум через 3 суток он выводится из организма естественным путем.

Скол зуба – самый популярный вид механического нарушения его целостности. Это обусловлено разнообразием этиологии стоматологических травм.

Поврежденный зуб доставляет массу неудобств, может стать причиной развития психосоматических отклонений. Раннее обращение к стоматологу способствует быстрому решению проблем. Современные стоматологические клиники предлагают массу различных действенных методов реставрации самого зуба и восстановления его жевательной функции.

Имеются противопоказания, необходимо ознакомиться с инструкцией по применению или проконсультироваться со специалистом.

Используемые материалы

  • Наврузова Л. Х. Сканирующая электронная микроскопия твёрдых тканей зубов при гиперфункции паращитовидных желёз //Новый день в медицине. – 2020. – №. 1. – С. 288-291.
  • Луцкая И. К. ПЕРЕЛОМ ЗУБА: ПРОБЛЕМЫ И ДИСКУССИИ //Современная стоматология. – 2022. – №. 2 (87). – С. 40-46.
  • Коско А. В. Анализ состояния временных моляров, вылеченных по поводу хронического пульпита при использовании различных способов восстановления коронковой части зуба //Стоматология детского возраста и профилактика. – 2013. – Т. 12. – №. 4. – С. 45-49.
Имеются противопоказания, необходимо ознакомиться с инструкцией по применению или проконсультироваться со специалистом.
Понравилась статья? Поделитесь:
Нужна консультация специалиста? Запишитесь на прием!
специалист клиники Dental Way

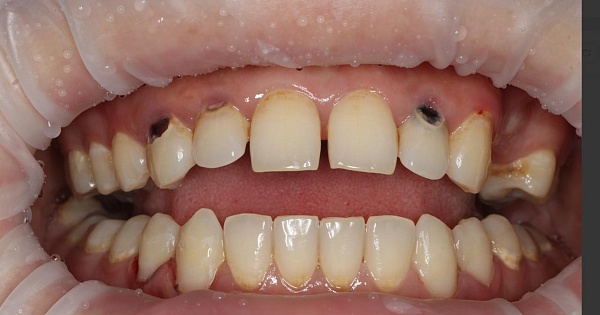
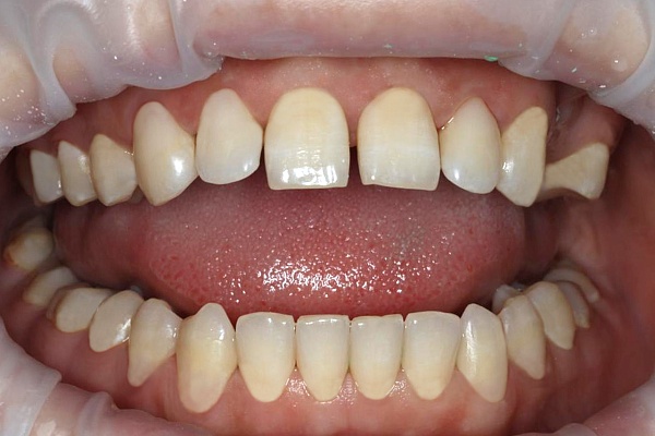
Результаты до/после

До
После

Эстетическая реставрация зубов

До
После

Лечение пришеечного кариеса

До
После
До
После
До
После
До
После
До
После
До
После
До
После
До
После
До
После
До
После

Наши врачи