Что это такое? Зачатки зубов — маленькие незаметные образования, которые находятся внутри челюсти и ожидают своего времени для роста. Являются основой для формирования моляров, резцов и премоляров и ключевым фактором одного из самых важных этапов в развитии зубочелюстной системы человека.
Когда образуются? Зачатки зубов образуются на пятой неделе внутриутробного развития плода, когда происходит интенсивное деление клеток. По мере роста ребенка и его челюстей перемещаются к поверхности и становятся все более заметными. Процесс формирования зачатков активно продолжается после рождения ребенка и заканчивается на зубах мудрости.
Этапы формирования зачатков зубов
Зачатки молочных зубов у детей начинают формироваться еще в эмбриональном периоде, у плода. Прежде чем превратиться в полноценные зубы, они проходят несколько этапов развития.
Клеточная структура зачатка зуба является исходным пунктом для формирования разнообразных частей – коронки, корня и зубной пульпы. Процесс развития зубного зачатка инициируется миграцией и дифференцировкой клеток в зоне, известной как зубное ложе.
У человека в жизни присутствует два набора зубов: первые — временные, необходимые для роста, и вторые — неподвижные, которые остаются с ним на всю жизнь. В процессе развития и формирования черепа наш организм использует молочные зубы, которые затем сменяются постоянными.
Зубная пластина, образованная первичной эпителиальной прослойкой, дает старт процессу формирования зубных зачатков. Эти зачатки зубов, возникающие из дентального слоя, проникают в окружающую соединительную ткань. Первая стадия развития временных зубов представлена рядом эпителиальных зачатков, сформированных дентальным слоем.
Завершение периода формирования зачатков зубов наступает к началу 5 месяца развития эмбриона, после того как первичная эпителиальная прослойка распределяется на вестибулярный и дентальный слои.
Пульпа, эмаль, цемент – все эти разные виды тканей зуба развиваются благодаря формированию специальных клеток и тканей в процессе гистогенеза, следующего этапа развития зуба. А также на этом этапе образуется периодонт.
Во втором триместре беременности начинают формироваться первые моляры, а на восьмом — резцы и клыки. Этот процесс аналогичен развитию молочных зубов, которые закладываются после временных зубов.

Когда появляются зачатки зубов мудрости, в каком возрасте? Формирование зубов мудрости начинается в возрасте около 5 лет, когда уже существует часть корня и начинает выстраиваться коронка временного зуба. Корни зубов развиваются до прорезывания как постоянных, так и молочных зубов.
Процесс завершается через 2 года после появления зуба в полости рта. Процесс резорбции корней начинается спустя 2 года, с участием остеокластов. В это же время клетки периодонта формируют костную ткань для ее сохранения. Начало прорезывания временного зуба совпадает с завершением формирования коронки и части корня, что помечает старт образования зубов мудрости у детей в 3 года.
Детский стоматолог может помочь в случаях, когда корни зубов резорбируются нетипично, постоянные зубы сменяются поздно, или временные зубы мешают постоянным. Нормально проходящий процесс смены зубов обычно не требует врачебного вмешательства, но в некоторых ситуациях может понадобиться консультация специалиста.
Для точного выявления клинической ситуации важно провести компьютерную томографию или сделать прицельный снимок, так как может оказаться, что за молочным зубом находится несколько зачатков постоянного зуба, что можно увидеть только на рентгенограмме.
Регулярные профилактические осмотры у детского стоматолога – это необходимость. Следует посещать специалиста каждые 3–4 месяца, чтобы предупредить появление кариеса. Важно также получить рекомендации по уходу за зубами. Кроме того, если у ребенка начинает шататься нижний резец, стоит обратиться к ортодонту, чтобы начать лечение. Этот специалист проведет оценку и даст советы по коррекции прикуса. Услуги по исправлению прикуса у детей проводят в Солнцево и в других районах Москвы.
Последовательность появления зубов у детей
У некоторых детей зубы могут прорезываться в разном порядке, что не является патологией. Время появления не зависит от того, когда формируются зачатки постоянных зубов. Изредка верхние резцы выходят раньше, чем нижние. В основном у детей зубы вырастают парами, в определенной последовательности:
- нижние центральные резцы;
- верхние центральные резцы;
- верхние боковые резцы;
- нижние боковые резцы;
- первые верхние моляры (коренные зубы);
- первые нижние моляры;
- верхние клыки;
- нижние клыки;
- вторые нижние коренные зубы;
- вторые верхние коренные зубы.

Когда ребенок достигает возраста 2,5–3 года, у него уже имеется весь набор молочных зубов – 10 штук на верхней и нижней челюсти. После 4–6 лет корни зубов рассасываются, зубы теряют устойчивость и выпадают в той же последовательности, в которой они вырастали.
В период с 5 до 15 лет происходит процесс появления более крупных зубов, которым предоставляется место за счет роста челюсти и лицевых костей.
Прорезывание зубов у детей
При прорезывании зубов встречаются различные нарушения, как местные, так и системные, которые, к счастью, редко вызывают серьезные проблемы. Некоторые из них:
- отечность и болезненность десен;
- повышенное слюноотделение;
- раздражительность;
- прерывистый сон;
- апатия;
- потребность что-то кусать;
- снижение аппетита.
Реже встречаются симптомы, схожие с болезненным состоянием организма, такие как насморк, субфебрильная температура и жидкий стул.
При обнаружении у младенца судорог, затрудненного дыхания и повышения температуры тела больше 38 градусов следует срочно обратиться к врачу или вызвать неотложку. Эти симптомы могут быть признаком серьезного вирусного заболевания и не имеют отношения к процессу прорезывания зубов.
Можно ли понять, почему у детей так различается процесс прорезывания зубов? У некоторых малышей это сопровождается температурой, у других — нет. Кроме множества прочих факторов, конституциональный тип ребенка оказывает влияние на этот процесс.
Дети с аллергическим типом могут во время этого периода страдать от капризности, атопического дерматита и зачастую подхватывают ОРВИ. Малыши с астеническим синдромом испытывают проблемы со сном, отказываются от пищи и непрерывно плачут из-за интенсивной боли.
Для того чтобы уменьшить негативные проявления и улучшить состояние детей, эксперты советуют родителям следующее:
- Использовать силиконовые или пластиковые прорезыватели (наполненные водой, они охлаждаются в холодильнике, после чего их дают ребенку).
- Проводить мягкий массаж десен. Пальцем, обернутым чистой тканью, увлажненной прохладной водой, несильно массировать воспаленный участок десны.
- В случае, когда у ребенка высокая температура или он слишком взволнован, необходимо обратиться к врачу для определения дозировки лекарственного средства на основе ибупрофена или парацетамола.
Важно помнить о гигиене рта младенца во время прорезывания зубов, чтобы избежать возможной вторичной инфекции. Родителям рекомендуется аккуратно протирать лицо малыша чистыми салфетками и регулярно удалять слюну.

При использовании специальных гелей для десен следует проявлять осторожность и избегать чрезмерной частоты применения, чтобы не допустить возможного возникновения аллергической реакции из-за некоторых включенных в состав компонентов.
Зачатки зубов мудрости
Зубные зачатки молочных и постоянных зубов формируются из одной эпителиальной пластинки, что обеспечивает общий механизм возникновения. Дополнительные постоянные зубы, такие как восьмые, формируются без предшественников в десне, что отличает их от других. Появление зачатков третьих моляров (мудрости) происходит позже, чем зачатков молочных зубов, примерно через 4–5 лет после рождения. Это связано с ограниченным пространством в коротких челюстях новорожденных детей, что затрудняет размещение зачатков постоянных зубов.
У многих зубы мудрости начинают расти в возрасте 15–16 лет, что является результатом ускоренной смены зубов в современном обществе.
В процессе эволюции зубочелюстная система претерпела изменения, которые привели к уменьшению количества зубов и увеличению их сложности, а также к сужению челюстей из-за смены пищевых привычек. Мало кто не сталкивается с трудностями, связанными с зубами мудрости. Изредка встречаются люди, у которых отсутствуют третьи моляры, или у которых они прорезались без проблем. Третьи моляры считаются рудиментарными органами.
Для чего и как удаляют зачатки зубов мудрости? Часто возникают проблемы с зубами, связанные с недоразвитием, когда зубы не могут прорезаться полностью из-за нехватки места. Это может привести к боли, повреждению корней и другим осложнениям. В такой ситуации зубы мудрости настоятельно рекомендуется удалить. Однако даже при использовании всех современных методов диагностики операция по экстренному удалению третьих моляров является сложной для пациента и хирурга.

Сегодня избежать подобных неприятностей нетрудно. Удаление зачатков 8 зубов в подростковом возрасте до начала роста корней – вот ключ к успеху. Быстрая и безболезненная процедура. Если молодой пациент нервничает, можно провести удаление под общим наркозом или под действием сильного успокоительного (в зависимости от уровня беспокойства). Эта методика пользуется популярностью в различных странах и уже активно внедряется в детскую стоматологию в России.
Для достижения идеальной улыбки после окончания формирования постоянного прикуса важно убедиться в выравнивании зубов. Прежде чем приступать к ношению брекет-системы или элайнеров, необходимо удалить зачатки зубов мудрости. Это поможет избежать смещения зубов и сохранить эффективность ортодонтического лечения. Про установление брекетов в Подольске вы можете узнать, позвонив по телефону горячей линии стомтаологии.
Перед удалением зачатков зубов мудрости нужно получить консультацию хирурга-стоматолога, так как каждый клинический случай уникален и требует индивидуального подхода. Иногда не стоит удалять третьи моляры. Например, если восьмому зубу достаточно места, и он нормально растет. Также важно учитывать отсутствие вторых моляров, что может повлиять на правильное прорезывание восьмерок.
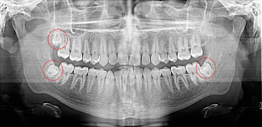
Для принятия решения о необходимости извлечения третьих моляров следует проконсультироваться с хирургом и ортодонтом, основываясь на панорамном снимке ОПТГ и, при необходимости, на результатах КТ (КЛКТ). Консолидированное мнение этих специалистов поможет определить, стоит ли удалять зачатки зубов мудрости.
Часто задаваемые вопросы о зачатках зубов
Как определить наличие зачатков зубов?
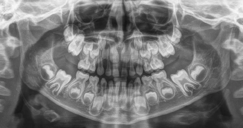
Перед началом ортодонтического лечения или во время активного прорезывания постоянных зубов выполняется панорамная ортопантомограмма. Этот вид визуализации позволяет взглянуть на все зачатки зубов на снимке, а также на молочные зубы, представляя полную картину зубного ряда и челюсти.
Почему может не быть зубов мудрости?
Некоторые люди сталкиваются с проблемой отсутствия зубов мудрости по двум главным причинам. Они могут находиться в челюсти, но не пробиваться наружу из-за недостатка пространства. Бывает, что зубы мудрости остаются в состоянии покоя в тканях челюсти на протяжении многих лет, не проявляя активности. Случается так, что отсутствуют зачатки зубов мудрости.
Больно ли удалять зачатки зубов мудрости?
Операция по удалению зубов мудрости занимает от 30 до 40 минут и осуществляется с применением современных технологий, обеспечивающих полное отсутствие боли. Время, затраченное на процедуру, зависит от различных факторов, таких как количество зубов, их глубина, размер и местоположение.
Исследователям и стоматологам важно представлять, как формируется зубной зачаток, чтобы выявить возможные аномалии и проблемы с зубами, а также лучше понять процесс развития зубов.
Знание этого также способствует обеспечению адекватного ухода за ротовой полостью в раннем возрасте для сохранения здоровья зубов и предотвращения стоматологических проблем.
Имеются противопоказания, необходимо ознакомиться с инструкцией по применению или проконсультироваться со специалистом.
Используемые материалы
- Хорошилкина Ф. Я. Ортодонтия. Дефекты зубов, зубных рядов, аномалии прикуса, морфофункци-ональные нарушения в челюстно-лицевой области и их комплексное лечение.-М.: ООО" Медицинское информационное агентство", 2006.-544 с.: ил //Ортодонтия. – 2006. – №. 2. – С. 17-17.
- Чуйкин С. В., Аверьянов С. В. Морфологические изменения зачатков зубов при неблагоприятном течении антенатального периода //Стоматология детского возраста и профилактика. – 2008. – Т. 7. – №. 4. – С. 12-16.
- Аверьянов С. В., Чуйкин С. В., Мусина Л. А. Изменения структуры зачатков зубов лабораторных животных при воздействии экотоксикантов //Медико-фармацевтический журнал «Пульс». – 2009. – Т. 11. – №. 1. – С. 16-17.